
Worries
こんな症状で お悩みではありませんか?
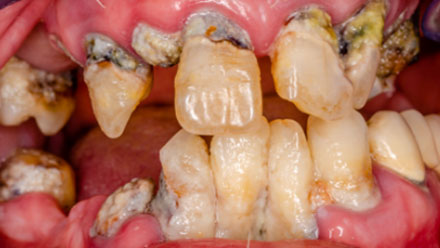
歯がボロボロで人に見せれない
食事がまともにできない
歯がほとんど残っていない
入れ歯を何度も作り直している
長年歯医者に行ってない
歯科医院に行くことを
躊躇されていませんか?
安心してください
多くの方が同じような悩みを抱え、 「もっと早く来ればよかった」 と、おっしゃいます。
咬合崩壊 (咬み合わせの崩壊)
は、放置すればさらに進行します。

Comprehensive Strength 咬合崩壊の治療は
「咬合再構成」 「総合力」 が必要です
咬合崩壊を起こした方の多くに必要なのは「咬合再構成」咬み合わせを一から立て直す治療です。
これは、痛いところだけを治す局所的な治療ではありません。
「歯周病、咬み合わせ、歯列のバランス、顎関節への負担、補綴設計、インプラント、審美性」すべてを包括的に分析し、“あなたの口の未来” を再設計する治療です。
当院では開業以来、インプラント学会・歯周病学会や咬合・再生療法・矯正治療などの勉強会を通じて研鑽を積み、日本有数の技工所と提携し、それぞれがチームとなり専門性の高い治療体制を築いています。

歯科医師
- 咬合
- 補綴
- インプラント
- 歯周病

歯科衛生士
- 歯周病
- メインテナンス

専門技工士
- 機能性
- 審美性

日本矯正歯科学会
認定医
- 歯列
- 咬合誘導

トリートメント
コーディネーター
- 話しづらい本音
- 希望の整理
あなたに お伝えしたいこと
“手遅れ” と思っているかもしれませんが、
“治したい” というお気持ちがある限り、
それは治療のスタート地点です。

口を見せるのが恥ずかしい
そのお気持ちを、まずはトリートメント
コーディネーターにお話ください。

治るかどうか不安
可能性を一緒に確認させてください。

痛みが怖い
治療方法は1つではありません。
あなたに合わせて選べます。

Professional 重度の歯科疾患には 専門的な治療が必須
歯がボロボロ・グラグラの状態にまで進行した重度の歯科疾患では、単に痛みのある歯や悪くなった歯だけを治療する方法では、十分な改善につながらない場合があります。咬む機能や発音、見た目のバランスなど、口腔内の機能と審美性を総合的に回復させるためには、全体を見据えた包括的な治療が必要となります。
そのためには、専門的な知識と技術を基に、歯を一本ずつではなく一口腔単位として、診査、診断を行う視点が欠かせません。
福岡の重度歯科疾患に対応している歯医者、まこと歯科・矯正歯科では、長年歯科医院に通えなかった方や、症状を放置せざるを得なかった方にも配慮しながら、将来を見据えた治療をご提案しております。

前歯の インプラント
審美性と自然な仕上がり

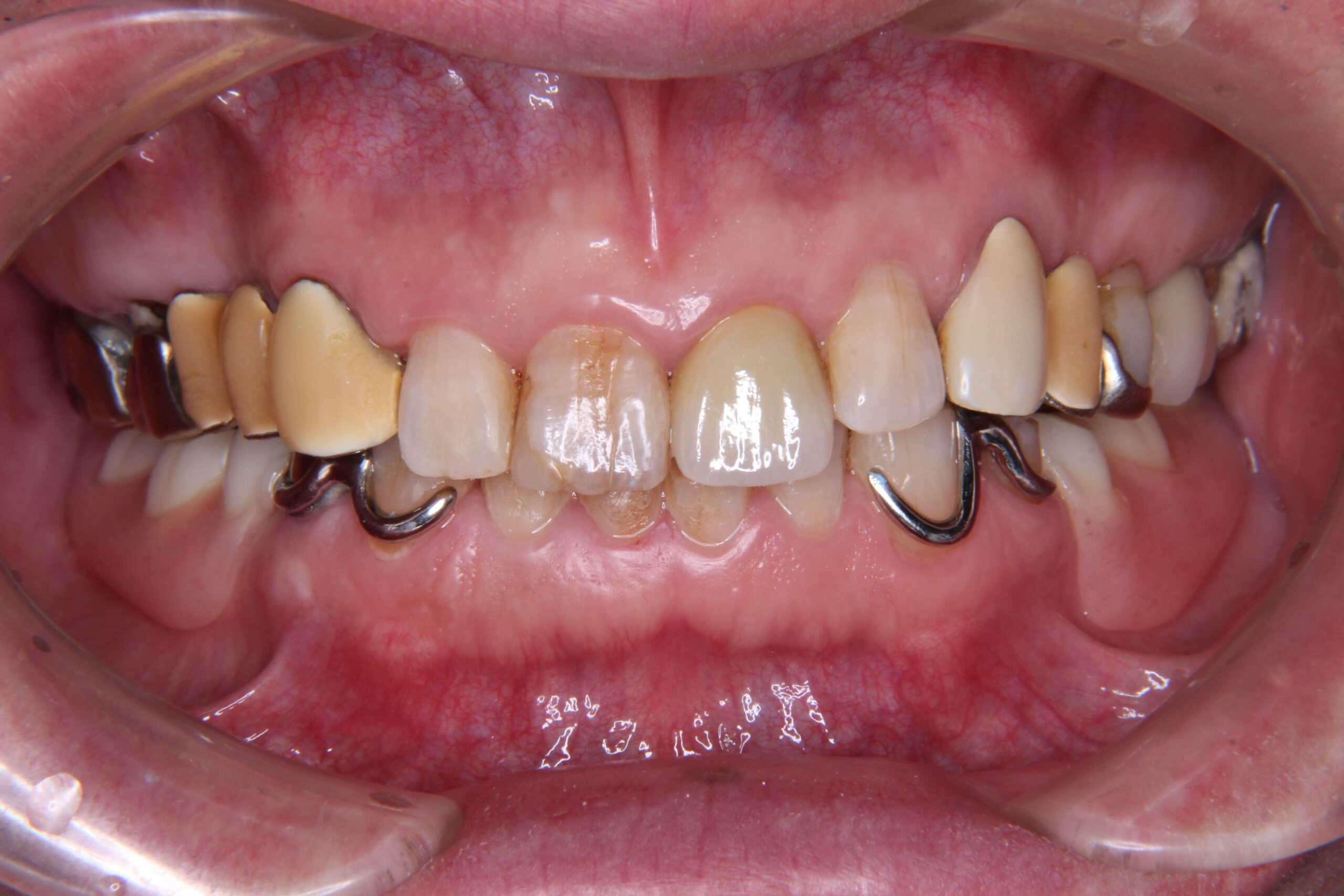
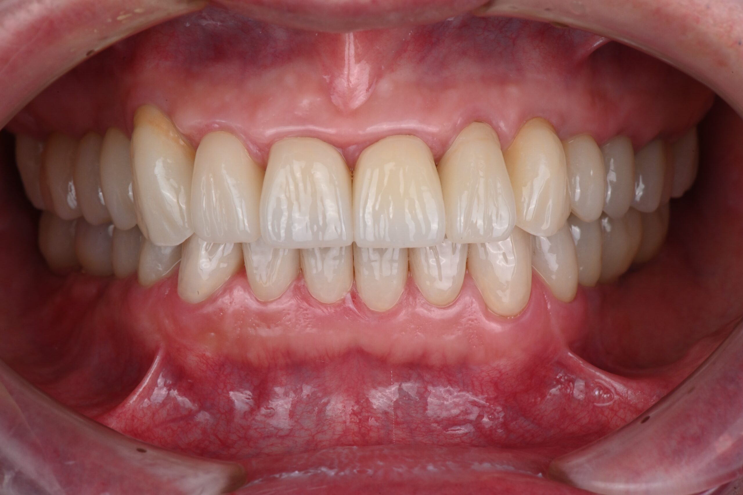
咬合再構成
全体の咬み合わせを立て直す専門治療

歯列矯正
専門的な知識と技術が必要

歯茎退縮対策
歯肉移植・歯周形成外科も対応

歯周組織再生
グラグラした歯の延命も可能な場合あり
口腔内を総合的に診る
フルマウス
リハビリテーション
当院なら行えます
任せて
ください
High Quality
質の高い治療を
提供できる理由
質の高い歯科治療を提供するためには、医療設備の充実だけでなく、それらを適切に使用するための知識と判断力が重要です。当院では、CTやマイクロスコープ、口腔内スキャナーなどの設備を整え、口腔内の状態をより正確に把握できる環境を構築しております。
また、歯科医師が日々進歩する医療技術や治療理論を学び続け、専門的な知識と技術の研鑽を重ねることも欠かせません。治療開始前には、現在の口腔内の状態を的確に診査、診断し、患者様一人ひとりに適した治療計画をご説明した上で、納得して治療に進んで頂くことを大切にしております。
1

精密な検査・治療が実現できる 充実した設備
当院では、歯科用CTを用いた精密な検査を行っております。歯や顎の骨、神経、血管の位置関係を立体的な3D画像として把握することで、肉眼やレントゲン写真のみでは判断が難しい情報まで詳細に確認することが可能となります。これにより、治療に伴うリスクを十分に考慮した上で、より精度の高い診断および治療計画の立案を行っております。
また、口腔内スキャナーを導入し、印象材を使用した型採りが不要の治療を行っております。
さらに、マイクロスコープおよび拡大鏡を完備し、肉眼では確認しづらい細部まで拡大視野で治療を行うことで、再感染リスクの低減にも努めてまいります。
2

インプラント・歯周形成・咬合再構成 一貫して実施
重度歯科疾患においては、一部の症状のみを改善する治療ではなく、口腔内全体を見据えた長期的な治療計画が不可欠です。当院では、インプラント治療にとどまらず、歯周組織の健康回復を目的とした歯周形成外科や、咬み合わせ全体の調和を図る咬合再構成まで含めた包括的な治療に対応しております。
これらの治療には、複数分野にわたる診断力と技術が求められますが、当院では一つの医院内で一貫して行える体制を整えております。その結果、転院による患者様のご負担や、治療期間の長期化を抑えることにもつながってまいります。
3

専門学会(JIADS・FCDC OB) 研鑽と講演多数
まこと歯科・矯正歯科では、歯科医療の質は日々の研鑽によって支えられるものと考え、院長自ら継続的な学びを行っております。
歯科医師は国家資格取得後も、医学、医療技術の進歩に対応するため、自己研鑽を続ける義務があります。当院では、スタディグループへの参加や学会活動、症例発表、専門分野に特化したセミナー、年間コースの受講を通じて、診断力および治療技術の向上に努めてまいりました。
さらに、オンライン学習と実地研修を組み合わせることで、知識と技術の両面から診療の質を高めております。今後も学びを止めることなく、よりよい歯科医療の提供に尽力してまいります。
4

治療計画~補綴仕上げまで 一貫管理(チーム医療体制)
当院では、虫歯や歯周病といった個別の問題のみを見るのではなく、咬み合わせや審美性、将来的なリスクまで含めた口腔内全体の詳細な検査を行っております。その結果を基に、詰め物、被せ物、義歯、インプラントなど、どの補綴物が最適であるかを慎重に判断し、治療方針を決定致します。
治療計画から補綴仕上げまでを一貫して管理することは、長期的に安定した結果を得るために、非常に重要です。当院では、単に失われた歯を補うだけでなく、口腔全体の機能回復と健康維持を目的とした治療を行い、予知性の高い結果を目指してまいります。
5

自費に特化した 歯科技工士との連携
高品質な補綴治療を作製するためには、自費診療に特化した歯科技工士との密な連携が不可欠です。保険診療では使用できる材料や設計に制限がありますが、自費診療では審美性や耐久性に優れた素材や高度な設計が可能となります。
当院では、治療計画の段階から歯科技工士と情報を共有し、歯の形態や色調、咬み合わせまで細部にわたり確認を行っております。
6

レーザーによる 歯周組織再生療法
重度歯周病に対しては、レーザーを用いた歯周組織再生療法を取り入れております。本治療は、レーザーによる殺菌および炎症抑制と、歯周組織の再生を促す治療法を組み合わせ、可能な限り歯を残すことを目的としています。
レーザーは、歯周ポケットの深部に存在する細菌の除去を行うとともに、外科的処置に比べて痛みや身体的負担を抑えながら、治癒を促進する特長があります。
Solution 重度歯科疾患 解決方法
重度の歯科疾患の解決方法は、症状の進行度や診断結果、患者様の全身状態によって異なります。場合によっては抜歯などの外科的処置が必要となることもあれば、歯を残す選択肢が考えられるケースもあります。どの治療方法が最適かは、歯科医師による精密な診査、診断が必要です。
重度歯科疾患は自然に改善することはなく、放置することで症状がさらに進行する可能性があります。そのため、できるだけ早い段階で歯科医院を受診し、現状を把握することが重要となります。
Case 症例紹介
Question よくあるご質問
重度歯科疾患をお持ちの患者様からは「今からでも治療は可能か」「どのような治療が必要になるのか」といったご質問を多く頂きます。長期間お悩みを抱えたまま、歯科医院を受診できずにいらっしゃる方も少なくありません。
当院では、一人で抱え込まず、まずはご相談頂くことを大切にしております。現在の状態やご不安、ご希望をお伺いした上で、無理のない治療方法を一緒に検討してまいります。解決に向けた第一歩として、どうぞお気軽にご相談ください。
-
Q
口の中がボロボロで恥ずかしい…
どこから治療したらいいのか分かりません。もう手遅れでしょうか? - A
そのようなお悩みで来院される方は、実はとても多くいらっしゃいます。当院では、治療に入る前に患者様のお気持ち・ご希望を丁寧に伺い、状況をしっかり把握した上 で治療方法をご提案いたします。 どうか「恥ずかしい」「迷惑かも」と思わずに、安心してご相談ください。
当院が初診で大切にしていること
トリートメントコーディネーター在籍 専門スタッフが患者様と医療側の架け橋とな り、治療前に丁寧にご希望・不安を伺います。 初診時は説明が中心
(※痛みなどがある場合は 応急処置可)いきなり治療せず、状況把握のためにレントゲ ン・口腔内写真など必要な資料を撮影します。 丁寧な問診 生活背景・治療への不安・過去の経験などを伺 いながら、その方に合った治療方針を立てま す。 幅広い治療が可能 インプラント・審美補綴・矯正治療・歯周病治 療まで一貫して対応できる体制があります。 お口の悩みが複数ある場合でも、 治療を段階的に整理し、“無理のない方法”で進めることができます。
- 「今、何が起きているのか」
- 「どこから治すべきか」
- 「どんな選択肢があるのか」
- 「費用・期間はどのくらいか」
――これらを、治療に入る前に、わかりやすくしっかりご説明します。
最後に 「何から始めたらいいかわからない」
そのお気持ちのままご来院いただいて大丈夫です。 一緒に、最善の方法を見つけていきましょう。 まずはお気軽にご相談ください。
- Q 重度の口臭が気になって、人と話すのが怖いです…
- A
そのようなお悩みを抱えて来院される方は決して少なくありません。 特に、「重度の口臭」により、人前で話すこと自体がつらくなっている患者様が多くいらっしゃ います。 口臭が強くなる原因には様々ありますが、当院で治療によって改善できることが多い主な原因は 以下の3つです。
重度の口臭の主な原因
(当院が考える代表的なもの)主な原因 重度の歯周病 説明 歯ぐきの深い炎症・歯周ポケ ット内の細菌による臭い 治療に
よる改善可能性改善できるケース多数 主な原因 口腔清掃不良
(セルフケア不 足)説明 磨き残しや歯間部の清掃不足 治療に
よる改善可能性ご本人の協力が必要 主な原因 不適合な被せ物・
詰め物(補綴物)説明 隙間や段差に細菌が溜まり臭 いの原因に 治療に
よる改善可能性治療で改善可能 治療による改善方法
- 重度の歯周病による口臭
徹底した歯周基本治療
(深部の細菌除去)
必要に応じて歯周外科(再生療法など)
多くの患者様で重度の口臭の改善が見込めます。 - 不適合補綴物が原因の場合
精密な型取り・マイクロスコープを使用しセラミックによる適合性の高い補綴物に置き換えることで「何年も悩んでいた重度の口臭が改善した」という症例もあります。 不適合な補綴物があると、どれだけ歯を磨いてもプラーク(細菌)が残り、口臭が続くことがあ ります。
改善に必要な2つのアプローチ
治療による改善 歯周病治療・補綴治療 患者様のご協力 セルフケア(歯磨き・清掃習慣) 最後に
“重度の口臭があるから歯医者に行けない” のではなく、 “重度の口臭を改善するために歯医者に来る” とお考えください。 治療とセルフケアを組み合わせることで、 口臭だけでなく、口元の印象・笑顔・自信まで改善できる可能性があります。
まずはお気軽にご相談ください。 - 重度の歯周病による口臭
- Q 前歯に問題があり、口元に強いコンプレックスがあります。改善したいのですが、恥ずかしさもあり、一歩が踏み出せません…
- A
そのようなお悩みを抱えて来院される方はとても多くいらっしゃいます。「前歯だけを治せば良いのか」「大がかりな治療になるのでは…」と悩まれるお気持ちは自然な ことですので、どうかご安心ください。
前歯に問題がある場合に知っておいてほしいこと
- 前歯(見える部分)にトラブルがある方の多くは、奥歯(臼歯部)にも噛み合わせや咬合力のバ ランスに問題があることが少なくありません。
- 前歯と奥歯は、お互いに支え合って正しい噛み合わせや機能を維持しています。
- そのため、前歯だけ治療しても、奥歯に問題が残っていると再びトラブルが起きることがありま す。
=長期的に見たとき、口元の見た目・機能・持続性のために、前歯と奥歯のバランスを考えた治 療が必要になる場合があります。
では、前歯だけの悩みの場合は? もちろん、前歯だけが問題の場合もあります。 当院では、顔全体のバランス・唇との調和・笑った時の見え方(スマイルライン)などを診断し た上で、前歯のみの治療で改善する可能もあります。
たとえば…- セラミック治療
- 前歯部インプラント
- 歯肉ラインの整え(ガムライン形成)
- 矯正や咬合調整 など
“見た目” だけでなく、「あなたが笑った時に一番自然で美しいかたち」から逆算して治療を提案 します。
- Q 入れ歯が痛くて噛めません。外れたり違和感があり、何度作り直しても良くなりません。原因と治療方法を教えてください。
- A
入れ歯が合わないのは、入れ歯そのものだけでなく、お口の中に“安定しにくい原因”がある場合 が多いためです。
入れ歯が合わない主な原因
入れ歯の適合不良 義歯が動く/痛い部分がある 骨隆起(こつりゅうき) 顎の骨の出っ張り(下顎・上顎)に入れ歯が当 たり痛みを生じる 歯列不正
(歯並びが乱れている)義歯の設計が無理になり、安定しにくい 咬合異常
(開咬症・
反対咬合など)咬み合わせがずれ、義歯に力がかけられない/ 外れやすい 不適合な補綴物
(古い被せ物など)義歯を支える構造に問題があり、義歯が落ち着 かない 顎堤の吸収
(骨が痩せている)吸着しづらく、動きやすい状態になる つまり「入れ歯が合わない=義歯のせい」だけではなく、「支える土台(歯・骨・噛み合わせ)」 にも原因がある場合が多いのです。
改善方法(矯正治療も含む)
患者様に合わせて、以下の方法から選択します。
治療方法 1インプラント+固定式補綴
特徴 入れ歯を使わず固定式の人工 歯。痛み・ズレがなく、強く 咬める このy方に - 「しっかり咬みたい」
- 「入れ歯から解放された い」
治療方法 2精密入れ歯+補綴治療
特徴 顎の動きや咬み合わせを分析 し、高精度義歯を製作 このy方に - 「手術が苦手」
- 「負担を抑えたい」
治療方法 3矯正治療
(歯列・咬合改善)特徴 歯並びや咬み合わせを整える ことで、義歯や補綴を安定さ せる このy方に - 「歯列不正が大きい」
- 「将来的に安定した口腔環 境を整えたい」
治療方法 4インプラント・オーバーデ ンチャー
特徴 少数インプラントにより入れ 歯を固定 このy方に - 「費用と安定性のバランスを 取りたい」
矯正治療が効果的な例
- 歯列不正が強く、
義歯の設計が無理な場合 - 咬み合わせが悪く、咬む力が適切に伝わらない場合
- 将来的に固定式補綴やインプラントも視野に入れる場合
“土台(歯列・咬合)を整えてから補綴することで、長期的に安定した咬み合わせが可能になります。
治療の第一歩は?
- 現在の義歯と口腔状態の精密検査
(骨・歯列・噛み合わせ・補綴物など) - 必要な治療ステップを診断
(矯正含む) - 治療方法を複数提案し、期間・費用などを丁寧にご説明
最後に
「入れ歯で咬めない」「痛くて食事がつらい」――その状態には理由があります。 原因がわかれば、インプラント・精密義歯・矯正など適切な治療により改善できる可能性が十分 にあります。
- Q 他院でインプラント治療を受けた部分に不具合があります。治療してもらうことは可能でしょうか?
- A
はい、当院では他院で行われたインプラント治療のご相談・対応も行っています。 インプラント治療が広く普及した現在、トラブルのご相談も増えており、多くのケースで治療をお 引き受けしています。 ただし、状態によっては必要な処置や治療内容が大きく変わるため、まずは専門的な診査が必要 となります。
治療を検討する前に確認すべきこと
インプラントの安定性 骨ときちんと結合しているか 被せ物(補綴物)の適合状態 緩みや破損がないか 歯周組織の状態 インプラント周囲炎の有無 咬み合わせの影響 力の偏りがないか 改善方法として考えられるもの
補綴物(被せ物)の
再調整・再製作製適合不良や噛み合わせの改善 インプラント周囲炎の治療 歯周治療・再生療法など 場合によっては
インプラント撤去難治性の場合、撤去して再治療を検 討 撤去が必要になる可能性もあるため、慎重な診査と事前説明を行います。
費用について
他院治療部分の再診断・再治療には、 新たに検査費用・治療費がかかります。 保険適応外となることが多く、内容により費用が変わるため、初回診査後に明確な見積もりをお 伝えします。
最後に
「自分のケースでも治せるのか?」という不安を抱えたまま過ごされている方が多くいらっしゃい ます。 当院では、まず詳しく診断し、状況・治療の選択肢・費用・期間を明確にご説明いたします。 その上で、患者様と一緒に最適な方法を検討していきますので、どうぞ安心してご相談くださ い。
なぜ口腔内を良好な状態に
保つ必要があるのか
口腔内の健康は、単に歯があるかどうか、咬めるかどうかだけの問題ではありません。
近年の研究では、お口の状態が全身の健康や生活の質に深く関わっていることが明らかになっています。
重度歯科疾患を放置せず、口腔内を良好な状態に保つことは、将来の健康を守るためにも重要です。

全身との関わり
重度の虫歯や歯周病によって口腔内に慢性的な炎症が存在すると、細菌や炎症物質が血流を介して全身に影響する可能性があります。
歯周病は、糖尿病や心疾患、脳血管疾患などとの関連が指摘されており、口腔内の管理は全身疾患のリスクコントロールにも関係すると考えられています。
歯を治すことは、お口だけでなく体全体の健康を見直すことにもつながります。

認知症との関連
咬む機能の低下は、脳への刺激が減少する原因の一つとされています。
歯を失い、しっかり噛めない状態が続くことで、認知機能の低下リスクが高くなる可能性があることも報告されています。

運動機能や生活の質について
咬み合わせの悪さや歯の欠損は、食事内容の偏りや栄養不足を招きやすく、結果として筋力低下や体力低下につながることがあります。
また、発音のしづらさや口元の見た目に対する不安が、会話や外出を控える原因になるケースもあります。
口腔内の機能と審美性を回復させることは、食事を楽しむこと、人と話すこと、前向きに日常生活を送ることにつながり、生活の質を大きく向上させる要素となります。
Concept 一人でも多くの患者様を 幸せにしたい
医療法人まこと歯科・矯正歯科 理事長木村誠
経歴
九州大学歯学部卒業
九州大学病院第二保存科勤務
=福岡市および糟屋郡内歯科医院勤務
まこと歯科・矯正歯科 開院
Post graduated course 修了
JIADSペリオコース 修了
JIADS補綴コース 修了
JIADS再生療法コース 修了
JIADS(3i)Implantコース 修了
所属団体
日本歯周病学会
日本臨床歯周病学会
日本口腔インプラント学会
最後に
人生を変えるために、 口元から 変えてみませんか?
崩れてしまった噛み合わせも、失われた笑顔も、もう一度、再構成できる可能性があります。
本気で治療と向き合いたい方は、ぜひ一度ご相談ください。その勇気が、あなたの今後を大きく変える一歩になるはずです。
まずはお話を伺うことから始めましょう。
