診療コンセプト|
当院の強み|治療の流れ
- TOP
- 診療コンセプト|当院の強み|治療の流れ
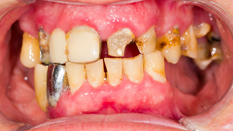
重度の歯科疾患でお悩みの方を一人でも多く救いたい

歯がボロボロ・グラグラの状態にまで進行してしまった場合でも、適切な診査、診断のもと、時間と費用をかけて治療を行うことで、口腔内の機能や見た目が改善する可能性は十分にあります。しかし、それを知らないまま「もう治らないのではないか」と諦めてしまっている方も少なくありません。
重度の歯科疾患でお悩みの方ほど、どこに相談すればよいのか分からず、歯科医院に足を運ぶこと自体に大きな勇気が必要となります。「咬むたびに痛みが出る」「食事が思うようにできない」「入れ歯が合わない」「自分の歯はもう無理かもしれない」などのお気持ちを抱えたまま、受診をためらっていませんか。

福岡の重度歯科疾患に対応している歯医者、まこと歯科・矯正歯科にいらっしゃる多くの患者様は、治療後に「もっと早く来ればよかった」とおっしゃいます。咬合崩壊は放置すると進行いたしますが、適切な診断とチームによる総合的な治療によって、再構築できる可能性があります。
咬合崩壊を起こした方に
必要なのは「咬合再構成」

咬合再構成とは、乱れてしまった咬み合わせを一から立て直すための包括的な治療です。痛みのある歯だけを治す局所的な処置ではなく、歯周病の状態、咬み合わせ、顎関節、補綴設計、インプラント、審美性までを総合的に分析し、将来を見据えた口腔内を再設計していきます。
当院では開業以来、インプラント学会や歯周病学会をはじめ、咬合、再生療法、矯正治療に関する勉強会を通じて研鑽を重ねてまいりました。
また、高い専門性を有する技工所と連携し、咬合再構成治療に対応できる体制を整えております。一人ひとり異なる口腔内の状態に真摯に向き合い、長期的な安定を目指した治療を行ってまいります。
ドクター紹介
院長 木村 誠

経歴
- 九州大学歯学部卒業
- 九州大学病院第二保存科勤務
- 福岡市および糟屋郡内歯科医院勤務
- まこと歯科・矯正歯科 開院
- Post graduated course 修了
- JIADSペリオコース 修了
- JIADS補綴コース 修了
- JIADS再生療法コース 修了
- JIADS(3i)Implantコース 修了
所属団体
- 日本歯周病学会
- 日本臨床歯周病学会
- 日本口腔インプラント学会
矯正担当 木村 美紀

経歴
- 九州大学歯学部卒業
- 東京歯科大学歯科矯正科研修
- 渡辺矯正歯科(東京都、吉祥寺)勤務
- 福岡市内矯正歯科専門医院勤務
- まこと歯科・矯正歯科 勤務
所属団体
- 日本矯正歯科学会 認定医
- 日本舌側矯正歯科学会
- 東京矯正歯科学会
患者様を救える裏付けとなる根拠

重度歯科疾患の治療においては、「想い」や「経験」だけでなく、的確な診査・診断を支える明確な根拠が不可欠です。当院では、精密な検査を可能にする医療設備と、それを正しく活用する専門的な知識・技術を基盤として治療を行っております。設備の充実は目的ではなく、患者様一人ひとりに適した治療計画を立案し、安全性と予知性の高い治療結果を目指すための重要な手段です。以下に、当院が重度歯科疾患に対応できる理由となる体制についてご紹介いたします。
精密な検査治療が実現できる
充実した設備
歯科用CT

歯科用CTは、2Dのレントゲン写真とは異なり、歯や顎の骨、神経、血管などの位置関係を3Dで把握できる機器です。当院ではこの歯科用CTを用い、顎骨の厚みや密度、形態を測定しております。神経や血管の走行も立体的に確認できるため、リスクを事前に把握しやすく、回避策を講じた治療計画の立案が可能となります。

特にインプラント治療においては、埋入位置、深さ、角度を事前にシミュレーションすることが不可欠で、精密な骨量評価を行うことで、安全性の高い手術につなげております。
さらに、歯の根の病気や歯周病の進行度合いについても、骨の状態を基に正確な診断が可能となり、治療計画がより緻密になることで、患者様の負担を軽くすることが可能です。
口腔内スキャナー(iTero/PrimeScan)
当院では、口腔内スキャナーとしてiTeroおよびPrimeScanを導入しております。これにより、印象材を用いた型採りが不要となり、粘土状の材料を口に入れる際の嘔吐反射を抑えることが可能です。スキャンは数分程度で完了し、口腔内全体の精密なデータをデジタル情報として取得いたします。取得したデータは即座に送信できるため、補綴物や矯正装置の製作における工程が効率化され、治療全体のスピード向上にもつながります。
デジタルデータは非常に精度が高く、各種治療の適合精度向上につながります。また、スキャン画像をモニター上で患者様と共有しながら説明を行うことで、治療内容への理解と納得感を深めて頂けます。

iTeroはマウスピース型矯正治療との親和性が高く、治療での歯の動きをシミュレーションで確認することが可能です。一方、PrimeScanは高速かつ広範囲のスキャンに優れ、金属冠など反射しやすい部位も精密に読み取れるため、補綴治療やインプラント治療など幅広い症例に対応しております。
マイクロスコープ完備

当院では、肉眼や拡大鏡では確認が困難な微細な領域まで可視化し、診断および治療の精度向上に努めております。マイクロスコープは最大で約20倍まで視野を拡大できるため、歯の微細なひび割れ、隠れた根管の入口、虫歯の取り残しなどを確認することが可能です。特に複雑な根管治療においては、感染源を高い確率で除去できるため、再発リスクの低減につながります。
また、拡大視野下で治療を行うことで、健康な歯質を必要以上に削ることなく、悪い部分のみを正確に処置することが可能となります。これにより、歯の寿命をできるだけ延ばす治療を目指すことができます。

さらに、肉眼では判断が難しかった病変やトラブルの原因を正確に特定できるため、診断能力の向上にもつながります。治療中の映像をモニターに映し出し、患者様と共有しながら説明を行うことで、治療内容への理解と納得感を高める、透明性の高い診療を行っております。
インプラント・歯周形成・
咬合再構成を一貫して実施

インプラント治療、歯周形成外科、咬合再構成の3つの治療分野を一貫して実施できる歯科医院は、口腔内の複雑な問題を総合的に解決できる高い専門性を有しています。当院では、歯周組織の状態、咬み合わせのバランス、歯の欠損状況などを包括的に診断し、部分的な対症療法ではなく口腔機能全体の回復を目的とした治療計画を立案いたします。
治療を一つの医院で一貫して行うことで、治療方針にブレが生じにくく、計画的かつスムーズに治療を進めることが可能です。また、各専門治療のために複数の医療機関を受診する必要がなく、通院の負担を減らせる点も特長です。
専門学会(JIADS・FCDC OBなど)での研鑽と講演多数

JIADSやFCDC OBなどの歯科専門学会における研鑽を継続し、さらに講演実績を有していることは、歯科医師として高い専門性と技術力を備えていることを示す重要な指標といえます。単に学会に参加して知識を得るだけではなく、講演を行う立場にあるということは、他の歯科医師へ知識や技術を伝える水準に達していることを意味いたします。
これは国内の歯科医療におけるトップレベルの知見を追求し、普及にも貢献している姿勢の表れでもあります。当院では、最新のエビデンスに基づいた治療を継続的に学び、難症例や複雑な治療においても、安心してお任せ頂ける診療体制の構築に努めてまいります。
治療計画から補綴仕上げまで
一貫管理(チーム医療体制)
重度歯科疾患の治療では、目の前の症状だけを改善するのではなく、最終的な補綴物の仕上がりと、その後の安定まで見据えた総合的な治療計画が必要です。当院では、治療開始前に口腔内全体を精密に診査、診断し、最終ゴールを明確にした上で、逆算的に治療計画を立案いたします。これにより、治療の各段階で方針の齟齬が生じにくく、一貫した高品質な治療の提供につながります。
また、診断から治療、最終調整までを同一の歯科医師、または連携の取れたチームで担当することで、治療全体に対する責任の所在が明確となり、情報共有も徹底されます。患者様にとっても、毎回同じ担当者と継続的にコミュニケーションを取ることができるため、ご要望やご不安を伝えやすく、信頼関係を築きやすい点が特長です。

さらに、最終的な咬み合わせの安定までを考慮して進めるため、治療後のトラブルが減り、補綴物が長期的に安定しやすくなります。治療完了後も、経過を熟知した当院で定期検診を継続して頂くことで、口腔内の健康維持を長期的に支えてまいります。
自費に特化した歯科技工士との連携

当院では、審美性、機能性、品質に徹底的にこだわった自費診療を行うために、自費治療に精通した歯科技工士と緊密に連携しております。保険診療では材料や製作工程に一定の制限がありますが、自費診療では患者様一人ひとりの状態やご希望に合わせ、素材と設計を最適化することが可能です。
その品質を形にする上で、熟練した歯科技工士の存在が大変重要となります。歯の色調や透明感、微妙な形態の再現には高度な技術が求められますが、歯科技工士が細部まで作製を行うことで、治療した歯だけが不自然に浮くことのない、美しい仕上がりを目指せます。

また、ジルコニアやe.maxなどの高品質な素材を適切に選択し、美しさと耐久性の両立を図ります。さらに、口腔内スキャンデータや型採りの情報を基に、適合精度の高い詰め物、被せ物を作製することで、虫歯の再発防止につながります。製作過程での確認や装着時の微調整もスムーズに行える体制を整え、患者様の満足度向上に努めてまいります。
レーザーによる
歯周組織再生療法

当院では、エルビウムYAGレーザーを活用した歯周組織再生療法に対応しております。レーザーを用いる本治療は、今までの歯周病治療に対し、低侵襲性と治癒促進の観点を加えた治療となります。一般的な歯周組織再生療法では、歯肉を切開し、骨欠損部に薬剤を用いて再生を促す外科手術が行われます。
一方、レーザーを併用することで、歯肉の切開や剥離を最小限に抑えたり、症例によっては非外科的に処置を進めたりすることが可能となります。

また、レーザーは歯根面の清掃効果を高めることが期待でき、再生を促す薬剤の作用を補助する役割も見込まれます。痛みや負担を抑えつつ、可能な限りご自身の歯を長期的に残したいとお考えの患者様にとって、有効な選択肢の一つとしてご提案いたします。
重度の前歯の審美障害にも対応

前歯の見た目にお悩みを抱える方は少なくありません。特に前歯が崩壊しているケースでは、奥歯の咬み合わせや歯の欠損など、口腔内全体にも問題が及んでいることが多く見受けられます。そのため、前歯のみを修復しても、奥歯で適切に咬める状態が整っていなければ、治療結果の安定は得られにくくなります。
なお、歯科における重度の審美障害は、公的な診断基準や等級認定がある特定の疾患名ではございませんが、見た目の問題が咀嚼や発音、精神的負担にまで影響し、QOLの低下に直結している状態を指すことが多いといえます。

治療には、全顎的な補綴治療や義歯、インプラント、場合によっては外科的処置を含む包括的なアプローチが必要となります。当院では、原因を根本から分析し、治療方針と選択肢をご説明した上で、ご納得頂いてから治療を開始いたします。
治療の流れ
重度歯科疾患の治療は、患者様お一人ひとりの症状や背景によって内容が大きく異なります。多数歯欠損や重度歯周病、顎関節症を伴う複雑な咬合異常など、状態はさまざまですが、治療を進める上での基本的なステップは共通しております。ここでは、重度歯科疾患に対する治療の一般的な流れをご説明いたします。
- STEP01カウンセリング・精密検査
-

初診時には、患者様が現在どのような点でお困りなのかという主訴をはじめ、全身疾患の有無、これまでの治療歴、治療に対するご希望やライフスタイルなどをお伺いいたします。その上で、口腔内写真撮影、各種レントゲン撮影(パノラマ・デンタル)、歯周ポケット検査、口腔内診査などを行い、現在の状態を把握します。
さらに歯科用CTを用いて、顎の骨の量や質、神経、血管の位置関係を3Dで確認し、インプラント治療や外科処置の可否を慎重に判断いたします。
加えて、咬合診査により顎関節の状態や筋肉の動き、咬合圧を分析し、模型分析を通じて、現在の咬み合わせの問題点や将来的な治療後の状態をシミュレーションしてまいります。
- STEP02治療計画の立案と説明
-

精密検査で得られたレントゲン画像、口腔内写真、模型などの客観的なデータを基に、現在の口腔内の状態や疾患の原因、将来的に想定されるリスクについて、分かりやすくご説明いたします。「なぜ現在の状態に至ったのか」「このまま放置するとどうなるのか」をご理解頂くことは、治療において非常に重要です。
重度歯科疾患の場合、治療方法は一つに限られません。抜歯、インプラント、義歯、ブリッジ、矯正治療など、複数の選択肢について、それぞれの特徴や違いをご説明いたします。
あわせて、治療全体にかかる見込み期間や、初期治療、主治療といった各フェーズのおおよその期間、さらに総費用や各処置ごとの費用、支払いのタイミングについても明確にご提示いたします。
- STEP03咬合再構成を伴う治療開始
-

治療計画にご納得頂いた上で、咬合再構成を伴う本格的な治療を開始いたします。咬合再構成とは、歯の欠損や歯周病などによって崩れた咬み合わせのバランスを、安定した状態へと再構築する治療です。単に歯の穴を埋めたり、見た目を整えたりするだけの治療ではなく、全ての歯が調和して咬み合う状態を目指します。
当院では、インプラント治療、歯周治療、補綴治療など複数の専門治療を一貫して管理しながら進めてまいります。重度歯周病により失われた骨や歯周組織に対しては、レーザーを用いた歯周組織再生療法を行う場合もあります。
また、抜歯が必要な部位や既に歯を失っている部位には、顎の骨にインプラントを埋入し、骨量が不足している場合には骨造成を併用いたします。土台が安定した後には仮歯を装着し、新しい咬み合わせが顎の筋肉や関節に適合しているかを確認した上で、最終的な補綴物を装着いたします。
- STEP04メインテナンス
-

高度な治療を長期的に安定させるためには、治療後のメインテナンスが必要です。メインテナンスを怠ると、インプラントや咬合再構成、歯周組織再生など、時間と費用をかけて行った治療が損なわれるリスクが高まります。
当院では、PMTC、口腔内および咬み合わせのチェック、インプラント周囲のケア、フッ素塗布などを定期的に実施いたします。重度歯科疾患を乗り越えた患者様にとって、メインテナンスは治療の延長ではなく、未来への投資です。回復した口腔機能を維持し、健康な生活を長く続けて頂くために、継続的なサポートを行ってまいります。
医院概要
| 医院名 | 医療法人 まこと歯科・矯正歯科 |
|---|---|
| 住所 | 〒813-0013 福岡市東区香椎駅前2丁目12-54-2階 |
| TEL | 092-692-2963 |
| 診療時間 | 月~金 9:00~13:00/14:30~18:30 土 9:00~13:00/14:30~18:00 |
| 休診日 | 木曜・日曜・祝日 ※祝日のある週は木曜診療いたします |
| 患者様への書面提示 |
アクセス
JR鹿児島本線「香椎駅」徒歩3分、西鉄貝塚線「西鉄香椎駅」徒歩2分




