お知らせ・ブログ
症例
Movie
About us
まこと歯科・矯正歯科について
「まこと歯科・矯正歯科」は子どもから大人まで歯科全般に対応します。とくに専門性の高い矯正歯科や歯周病治療の認定医が在籍し、それぞれの分野の深い知識と豊富な経験をいかした質の高い治療のご提供に努め、お口の健康を守ります。さらに大切なのは予防です。どんなにすばらしい治療にも勝ります。歯科医師だけでなく歯科衛生士が定期検診を通してむし歯や歯周病の予防につながるさまざまな処置を行い、患者様のお口まわりをより健康に、より美しく保ちます。
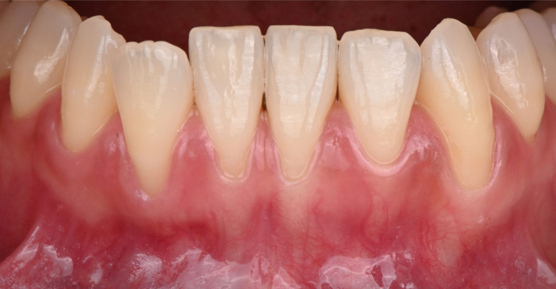
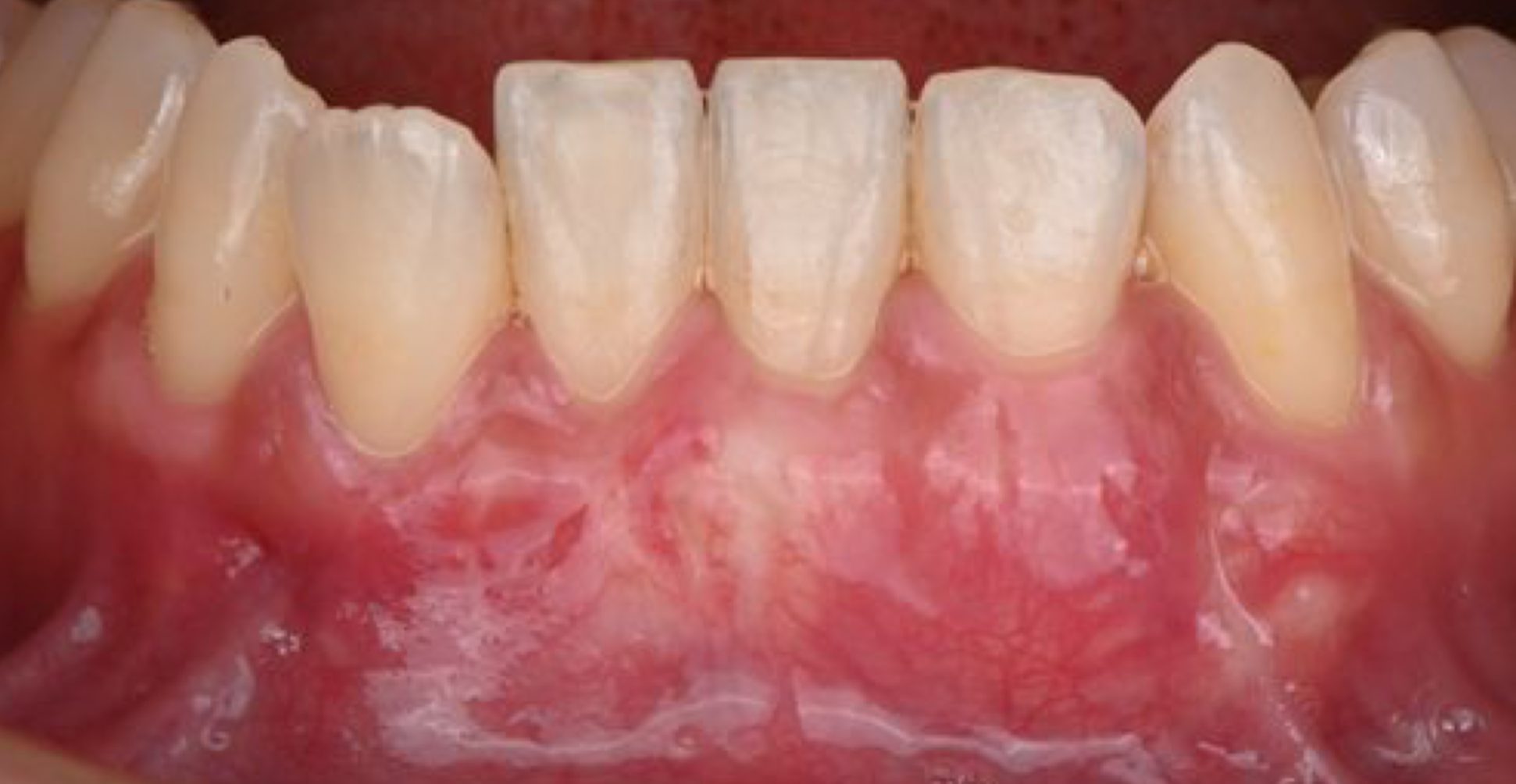
全顎治療のご案内
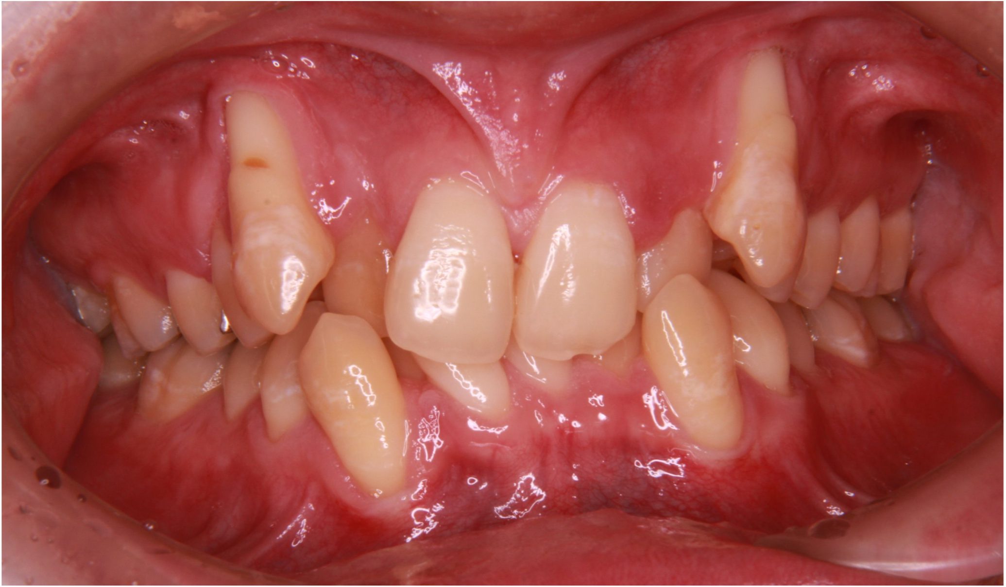
このようなお悩みやご希望はありませんか?
- ・前歯がボロボロ
- ・歯がガタガタ
- ・入れ歯が合わない
- ・歯がなくなった
- ・歯並びが悪い
- ・とにかく全部きれいにしたい

歯科医院への通院を検討される方は、
初めからお口全体を治療したいと思って来院されるよりも、
お口の一部にお悩みやご希望を持っていらっしゃる方ほとんどだと思います。
全顎治療は、いろんな治療を行うという意味ではなく、患者様のお口を全顎的(総合的)に診査・診断し、治療する事です。
当院には、歯科医師、矯正歯科医、衛生士が一つのチームとなり、全顎的(総合的)に治療、予防をご提供できるチーム医療の体制が整っております。
お口の中に一つでもお悩みやご希望がありましたら、是非、当院へお気軽にご相談ください。




















