歯周組織再生療法
- TOP
- 歯周組織再生療法
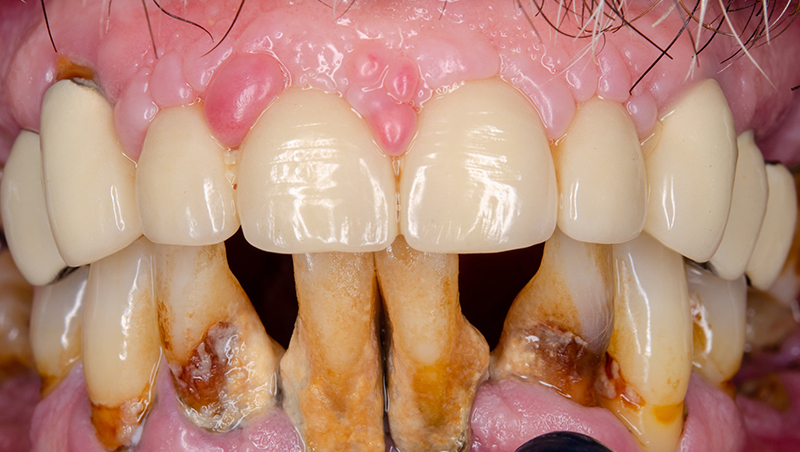
重度の歯周病でお悩みの方

重度歯周病(重度歯周炎)は、歯を支える歯槽骨が大きく失われ、一般的に33%の骨吸収が認められる状態を指します。この段階まで進行すると、歯周病による炎症だけでなく、咬み合わせのバランスが崩れることで咬合崩壊が起こりやすくなります。その結果、歯が強く揺れる、しっかり咬めない、歯並びが悪くなるといった複数の症状が重なり、日常生活に支障をきたすことがあります。

咀嚼が困難になることで食事内容が偏り、全身の健康に影響する可能性も否定できません。重度歯周病は細菌感染だけが原因ではなく、咬み合わせの不調和が症状を悪化させる要因となる場合もあります。歯周病の末期段階にあたるため、できる限り早期に適切な治療を開始することが重要です。
歯を見せることへの不安や歯科治療への恐怖心がある方も多いですが、一歩踏み出すことで、食事や会話を長く楽しめる口腔環境を取り戻せる可能性があります。福岡の重度歯科疾患に対応している歯医者、まこと歯科・矯正歯科では、重度歯周病の方の治療を行っております。
抜歯を回避する
歯周組織再生療法

歯周組織再生療法とは、歯周病によって失われた歯槽骨や歯根膜などの歯周組織の再生を促し、歯を支える環境を回復させる治療法です。歯周病が進行すると、通常の歯周基本治療だけでは改善が難しい場合がありますが、再生療法を行うことで、抜歯を回避できる可能性が広がります。
再生療法では、歯周ポケット内部を清掃し、歯周組織が再び形成されやすい環境を整えます。全ての症例に適応できるわけではありませんが、欠損の形態や歯の状態が適していれば、歯の安定性を回復し、長期的な保存につながります。
当院では負担の少ない
レーザーを使用します

当院では、歯周組織再生療法においてエルビウムYAGレーザーを使用しております。エルビウムYAGレーザーは水分への吸収率が非常に高く、照射部位の水分に反応して組織を蒸散させる特性を持つレーザーです。そのため、周囲組織への熱影響が少なく、低侵襲での治療が可能となります。
歯周病治療では、感染源となる組織や歯石の除去、炎症の軽減を行いながら、歯周組織や歯槽骨の再生を促す効果があります。振動や不快な音が少なく、痛みを感じにくいため、麻酔量を抑えられるケースもあります。

また、出血が少なく、殺菌効果や炎症抑制作用もあることから、治療後の治癒が比較的早い点も特長です。レーザーは照射範囲を精密にコントロールできるため、健康な組織への影響を最小限に抑えながら処置を行うことが可能です。
歯周病治療だけでなく、虫歯治療における切削量の低減や歯肉形成など、幅広い歯科治療に応用できることもエルビウムYAGレーザーの利点です。患者様の負担に配慮しながら、より安全で精度の高い歯周治療を行っております。
歯周組織再生療法の種類
エムドゲイン

エムドゲインは、歯周病によって失われた歯周組織の再生を目的とした自費診療の歯周組織再生材料です。歯の発生過程で重要な役割を果たすタンパク質を主成分としており、歯根表面に塗布することで、歯槽骨、歯根膜、セメント質などの再生を促します。
重度歯周病により深い歯周ポケットや骨欠損が生じている場合でも、適切な症例選択と外科処置を行うことで、歯を支える組織の回復が期待できます。エムドゲインは生体親和性が高く、体内で自然に吸収されるため、異物反応が起こりにくい点も特長です。
歯の保存を重視した治療を行いたい方や、抜歯を回避したいケースにおいて、有効な選択肢の一つとなります。
リグロス

リグロスは、歯周病によって失われた歯周組織の再生を目的とした、保険適用の歯周組織再生材料です。ヒト由来の成長因子を有効成分とし、歯槽骨や歯周組織の再生を促進する作用があります。一定の条件を満たした中等度から重度の歯周病に対して使用することができ、歯周外科処置と併用することで、歯を支える骨の回復が期待できます。
自費診療が中心であった歯周組織再生療法が、保険診療で受けられる点は大きな特長です。
ただし、全ての症例に適応できるわけではなく、骨欠損の形態や歯周病の進行度など、厳密な診査と診断が必要となります。当院では、適応の可否を慎重に判断した上で、患者様に適した治療法をご提案しております。
外科処置にも対応しています

歯周ポケットの深さが4mm以上になると、日常のブラッシングでは歯周ポケットの深い部分の汚れを十分に除去できません。さらに5mm以上の深い歯周ポケットでは、歯周ポケットの奥に歯石が付着しやすくなり、歯科衛生士によるプロフェッショナルケアでも対応が困難になることがあります。
その結果、炎症が慢性化し、歯を支える歯槽骨の吸収が進行してしまいます。周病が進行し、歯周ポケットが深くなった場合や、歯槽骨の吸収が進んでいる場合には、歯周基本治療だけでは十分な改善が得られないことがあります。そのようなケースでは、歯周外科処置が必要となります。

歯周外科処置では、歯肉を一時的に開いて歯根面や歯槽骨を直接確認し、歯石や感染組織を徹底的に除去します。これにより、歯周ポケットの改善や炎症のコントロールが可能となり、歯周組織再生療法を併用することで、失われた組織の回復を目指すこともできます。
根面被覆術

根面被覆術は、露出した歯の根を歯肉で覆う外科処置です。歯根の露出は、見た目の問題だけでなく、知覚過敏や虫歯、歯周病の再発リスクを高める原因となります。歯肉を適切な位置に移植することで、歯根を保護し、審美性と機能性の回復を図ります。
遊離歯肉移動術

遊離歯肉移動術は、上顎の口蓋などから歯肉を採取し、歯肉が不足している部位へ移植する治療法です。歯肉の厚みや幅を増やすことで、歯周組織の安定性を高め、歯周病の進行や再発を防ぐ効果があります。清掃性の向上や、将来的な歯の保存を目的として行われる外科処置です。
骨移植術

骨移植術は、歯周病によって失われた歯槽骨を再生させることを目的とした治療法です。歯を支える骨が減少すると、歯の動揺が強くなり、最終的に抜歯が必要となる可能性が高くなります。骨移植を行うことで、歯の安定性を改善し、長期的な歯の保存を目指します。
骨移植にはいくつかの方法があり、患者様ごとの状態に応じて選択されます。自家骨移植は、ご自身の体から採取した骨を使用するため、適合性が高く、拒絶反応のリスクが低い方法です。異種骨移植は、動物由来の骨を加工した材料を用い、骨の再生を補助します。また、合成骨移植では、人工的に作られた骨代用品を使用し、安定した骨再生環境を整えます。これらを適切に組み合わせることで、歯周組織の回復を図ります。
症例紹介
よくあるご質問
- Q歯周組織再生療法は保険治療で受けることはできますか?
-
A
一部の症例では、保険診療で再生療法を行うことが可能です。
現在、保険診療で使用できる再生材料は 「リグロス(FGF-2)」を単独で使用する場合に限られます。保険治療での再生療法について
使用できる薬剤 リグロス(FGF-2のみ) 使用方法 単独使用のみ
(骨補填材との併用は不可)適応症例 骨の形が比較的良く保たれているケースに限られる 骨補填材併用 保険適応外 → 自費治療となります 症例が限られる理由
科学的基準によると、エムドゲイン(世界的に長く用いられてきた再生材料)も“コンテインドディフェクト”と呼ばれる骨の形がしっかり保たれているケースでのみ効果が期待できると言われています。
コンテインドディフェクトとは?
骨欠損の周りに壁があり、材料が留まりやすい状態のことです。
例:3面または4面が骨で囲まれた「限局的で形態が保持された欠損」
リグロスも同様の傾向があるため、骨の形態が崩れている場合や、外側が大きく欠けている症例では、十分な再生が期待できない可能性があります。エムドゲインとリグロス(FGF-2)の違いについて
比較項目 使用開始時期 エムドゲイン 1990年代後半~
(歴史が長い)リグロス
(FGF-2)近年導入
(比較的新しい)比較項目 主成分 エムドゲイン 歯の形成に関与するタンパク質(エナメルマトリックスタンパク) リグロス
(FGF-2)組織の増殖因子(成長因子) 比較項目 適応 エムドゲイン 限局的・骨の形が保たれた欠損 リグロス
(FGF-2)同様に
限局的な症例比較項目 保険適応 エムドゲイン ×(自費) リグロス
(FGF-2)○(単独使用のみ) ※現時点では、どちらが確実に優れているかは明確ではありません。
症例に応じて使い分けられることが多く、骨を増やしたい場合には骨補填材を併用した治療(自費)が推奨されることがあります。治療選択のポイント
- 骨欠損の形や重症度に
より適応が異なる - より広範囲の再生が必要な場合 → 骨造成材料を併用
まとめ(患者様向け)
保険診療で再生療法が可能なケースもありますが、条件が限られているため、すべての患者様に適応できるわけではありません。骨の欠損状態や治療目標に応じて、保険診療と自費診療のどちらが適切かを精密検査のうえご提案します。ご希望・ご予算も含めて一緒に相談しながら治療方法を決定してまいりますので、どうぞ安心してご相談ください。
- 骨欠損の形や重症度に
- Q歯周組織再生療法を成功させるために、特に大切なことは何ですか?
-
A
歯周組織再生療法は、手術だけで完結する治療ではありません。
- 術前の歯周基本治療(ブラッシング指導や歯石除去など)で炎症をしっかり抑えること
- 骨や歯肉を再生させるための高度な外科手術
- 術後の厳密な管理(清掃・安静・定期チェック)
- 長期的なメインテナンスと生活習慣の改善
- 喫煙者の方は禁煙が必要
これらすべてが揃って初めて成り立つ治療 です。歯科医院の 歯科医師・歯科衛生士・スタッフが連携したチーム医療と、患者様ご自身の協力(ホームケア・定期来院など) が欠かせません。
