福岡の重度歯科疾患外来専門サイト「まこと歯科・矯正歯科」のフルインプラント

MENU

WEB予約

TEL

092-692-2963

【 平 日 】9:00~13:00/14:30~18:30
【 土 曜 】9:00~13:00/14:30~18:00
【 休診日 】 木曜・日曜・祝日
(祝日のある木曜は診療)

という提案 諦めない

フルインプラント

  • TOP
  • フルインプラント

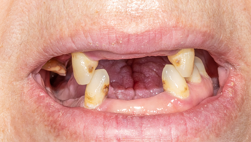
ほとんどの歯を失っている方

「歯がない」「歯がボロボロ・グラグラで歯医者に行きづらい」と感じ、受診をためらっている方は決して少なくありません。しかし、治療を行わず放置を続けることで、残っている歯に負担がかかり、口腔内環境がさらに悪化する可能性があります。

その結果、新たに健康な歯まで失ってしまう可能性も考えられます。歯を多く失った状態は、見た目でなく、咬む機能の低下を通じ、全身の健康にも影響いたします。将来の健康を守るためにも、福岡の重度歯科疾患に対応している歯医者、まこと歯科・矯正歯科にご相談ください。

複数のインプラントで全顎を取り戻します

歯を全て失ってしまった場合でも、インプラントを適切な本数で配置することで、咬む機能と見た目の回復を図ることが可能です。全顎インプラント治療では、失った歯の本数分すべてにインプラントを入れるのではなく、顎の骨の状態や咬み合わせの力のかかり方を考慮し、無理のない本数で全体を支える治療計画を立てます。

治療後の安定性を長く保つためには、咬み合わせの力が特定の部位に集中せず、顎全体にバランス良く分散されていることが重要です。そのため、骨の厚みや密度を正確に評価した上で、インプラントの本数や配置を決定する必要があります。

一般的な治療計画の一例として、上顎に7本、下顎に6本のインプラントを用い、連結した人工歯で全顎を支える方法があります。咬む力を分散させることで、インプラントや骨への過度な負担を抑え、長期的な安定につなげることが可能です。

本数を少なくすれば初期費用は抑えられますが、無理な設計は結果としてトラブルや再治療の原因となることもあります。当院では将来の安定性を重視し、身体的負担と治療リスクを抑えながら、長期的に快適に使用できる全顎インプラント治療をご提案いたします。

当院のフルインプラントの
特長

インプラントに精通している
院長が担当

当院のフルインプラント治療は、日本口腔インプラント学会に所属し、数多くのインプラント治療を経験してきた院長が担当いたします。日々進化するインプラント治療に対応するため、各種勉強会や研修会に参加し、常に知識と技術の研鑽を重ねております。

骨量が不足している方に対しては、骨造成を併用した治療を行うほか、抜歯と同時にインプラントを埋入する抜歯即時インプラント手術、歯肉を大きく切開せずに行うフラップレスインプラント手術など、症例に応じた高度な治療にも対応可能です。

歯科用CTによる精密な診査診断

インプラント治療では、顎の骨の状態を正確に把握することが安全性と成功率を左右します。当院では歯科用CTを用い、顎の骨の高さや厚み、骨密度といった骨の状態を3Dで確認しております。

通常のレントゲンでは把握が難しい骨量不足や骨の薄さも詳細に評価でき、必要に応じて骨造成を含めた治療計画の立案が可能です。

また、歯科用CTにより血管や神経の走行位置も正確に把握できるため、神経損傷や出血などのリスクを避けた安全な埋入位置を事前に検討できます。精密な診査診断を行うことで、不要なトラブルを防ぎ、安心感の高いインプラント治療を行っております。

より安全にインプラント治療を行うために

当院では、インプラント治療の安全性をさらに高めるため、ガイドを用いたインプラント手術(ガイデッドサージェリー)を行っております。ガイデッドサージェリーとは、歯科用CTや口腔内データを基に顎の骨や神経、血管の位置を3Dで把握し、インプラントを埋入する位置を事前にシミュレーションした上で、それらを反映したテンプレートを用いて手術を行う方法です。

経験や感覚に頼らず、客観的なデータに基づいて処置を行うことで、神経や血管への影響を避けやすくなり、手術時間の短縮や身体への負担軽減にもつながります。また、症例によっては歯肉を切開しないフラップレス手術が可能となります。

体の負担を軽減する治療法

抜歯即時インプラント手術

抜歯即時インプラント手術とは、抜歯を行ったその日に、同じ部位へインプラントを埋入する治療法です。通常は抜歯後に一定期間の治癒を待ってからインプラント治療を行いますが、条件が整えば治療回数や期間を短縮することが可能となります。

手術回数が減ることで負担を軽くできる点が大きなメリットです。また、抜歯後の骨吸収を抑えやすく、歯肉や骨の形態を保ちやすい点も特長です。
一方で、全ての症例に適応できるわけではなく、感染の有無や骨の状態、全身疾患の有無など、慎重な診査が必要です。

フラップレスインプラント手術

フラップレスインプラント手術とは、歯肉を大きく切開せず、歯肉に開けたごく小さな穴からインプラント体を埋入する低侵襲な治療法です。

一般的なインプラント治療では歯肉を切開し、骨の状態を直接確認しながら手術を行いますが、フラップレスインプラントでは歯肉を切開しないため、術後の腫れや痛み、出血を抑えやすく、回復が比較的早い点が特長です。

歯肉の縫合が不要となるため、通院回数や治療期間の短縮も期待できます。また、歯肉が下がりにくく、審美面での影響が出にくい点もメリットの一つです。出血量が少ないことから、ご高齢の方や全身状態に配慮が必要な方にとっても、症例によっては有効な選択肢となります。
一方で、フラップレスインプラントは歯槽骨を直接視認できないため、治療には高い精度が求められます。

そのため、歯科用CTによる精密な診断が不可欠となり、顎の骨の高さや厚み、骨密度、神経や血管の走行をしっかりと把握し、埋入位置をシミュレーションする必要があります。
当院では歯科用CTを用いた事前検査で安全性を確保した上で、フラップレスインプラント手術を行っております。

ただし、骨の量や質に不安がある場合には適応できないこともあり、手術中に安全性を優先して切開手術へ切り替えるケースもあります。また、精密なシミュレーションやサージカルガイドの作製が必要となるため、通常のインプラント治療に比べて費用が高額になる傾向があります。

このように、フラップレスインプラント手術は患者様の負担を抑えられる一方で、適応の見極めが非常に重要な治療法です。当院では精密な診査を行い、患者様一人ひとりの状態に応じて、最適な治療方法をご提案いたします。

骨が少なくても骨を作れる

インプラント治療では、インプラントを支える顎の骨の高さや厚みが重要となります。歯を失った期間が長い場合や、重度の歯周病を伴う場合、骨量が不足しているケースも少なくありません。

そのような場合でも、骨造成手術を併用することで、インプラント治療が可能となる場合があります。骨造成とは、不足している骨を補い、インプラントを安定して支えられる環境を整える治療です。

骨の状態を正確に把握したうえで治療計画を立案することで、無理のない治療が可能となり、長期的な安定性の確保にもつながります。

GBR(骨造成)

GBRは、骨が不足している部位に人工骨や自家骨を填入し、膜(メンブレン)で覆うことで骨の再生を促す治療法です。骨以外の組織が入り込むのを防ぎながら、骨が再生するためのスペースを確保することで、インプラントを支える骨の量を回復させます。

上顎洞底挙上術(サイナスリフト)

上顎の奥歯部分では、上顎洞と呼ばれる空洞が近接しており、骨の高さが不足しやすい特徴があります。サイナスリフトは、この上顎洞の底部を持ち上げ、その下に骨を造成することで、十分な骨の高さを確保する治療法です。骨量が著しく不足している場合でも、インプラント治療の選択肢を広げることが可能となり、長期的に安定した咬み合わせの回復を目指すことができます。

4本のインプラントで補う
All-on-4

All-on-4とは、歯を全て失った、または重度に歯が損なわれた方に対し、最小4本のインプラント本数で全顎の咬み合わせを回復する治療法です。一本に対し一本のインプラントを入れる治療では、多数のインプラント埋入や骨造成などが必要となるケースも少なくありませんでした。

All-on-4では、比較的骨が残存しやすい前方部を中心に4本のインプラントを配置し、後方は傾斜埋入を行うことで、限られた骨量を有効に使い、埋入いたします。これにより、大規模な骨造成やサイナスリフトを回避できる場合があります。

症例紹介

よくあるご質問

Q歯がほとんどないのですが、治療は可能でしょうか?
A

はい、治療は可能です。ご安心ください。歯がほとんどない場合でも、治療方法は複数あり、状態に応じて選択が可能です。「しっかり咬みたい」「治療費を抑えたい」「できるだけ固定式が良い」など、ご希望やライフスタイルに合わせてご提案いたします。

治療方法は、お口の状況やご希望(しっかり咬みたい・固定式が良い・費用面など)によって異なります。しっかり噛める度合いが高い順にご紹介すると、次のような選択肢があります。

ボーンアンカードブリッジ
(インプラントで固定する
フルブリッジ)
咬める安定性:◎◎◎
短縮歯列の
ボーンアンカード
ブリッジ
(奥歯を省略した固定式)
咬める安定性:◎◎
インプラント
オーバーデンチャー
(インプラント+入れ歯)
咬める安定性:◎
精密総義歯
(高精度の入れ歯)
咬める安定性:○

治療法の特徴

  • ボーンアンカードブリッジ
    インプラントを複数埋め込み、ブリッジを固定する方法。最もしっかり噛めます。
  • 短縮歯列ボーンアンカードブリッジ
    咀嚼に問題が出ない範囲で奥歯を省略した固定式。バランス良く噛める方法です。
  • インプラントオーバーデンチャー
    2~4本のインプラントで入れ歯を安定させる治療。外れにくく食事しやすいタイプです。
  • 精密総義歯(総入れ歯)
    精密な型取りと咬み合わせ設計で製作。手術なしで改善したい方に。
Qフルインプラント治療の際、痛みや腫れはどのくらいありますか?
A

インプラント治療に伴う痛みや腫れは、骨や歯ぐき(粘膜)の状態、また骨造成や粘膜移植などの追加処置が必要かどうかによって大きく異なります。そのため、痛みや腫れの程度には個人差があります。

ただし、ほとんどの場合において、

  • 適切な投薬(痛み止め・抗炎症薬・抗菌薬など)を行うことでコントロールが可能です。
  • 腫れは数日~1週間程度でおさまることが一般的です。
  • 症状は一時的であり、多くの方が乗り越えられているプロセスです。

治療計画についての配慮

  • 一度にまとめて手術を行うことで、治療期間を短縮する選択肢もあります。
  • ご不安が強い方やお身体の状態によっては、段階的にエリアを分けて行う方法も検討できます。
  • 手術中は麻酔下で行われるため、処置中の痛みは感じません。
Q他院でインプラント治療を受けた部分に不具合があります。治療してもらうことは可能でしょうか?
A

はい、当院では他院で行われたインプラント治療のご相談・対応も行っています。インプラント治療が広く普及した現在、トラブルのご相談も増えており、多くのケースで治療をお引き受けしています。

ただし、状態によっては必要な処置や治療内容が大きく変わるため、まずは専門的な診査が必要となります。

治療を検討する前に確認すべきこと
インプラントの安定性:骨ときちんと結合しているか
被せ物(補綴物)の適合状態:緩みや破損がないか
歯周組織の状態:インプラント周囲炎の有無
咬み合わせの影響:力の偏りがないか

改善方法として考えられるもの
補綴物(被せ物)の再調整・再製作:適合不良や咬み合わせの改善
インプラント周囲炎の治療:歯周治療・再生療法など
場合によりインプラントの撤去:難治性の場合、撤去して再治療を検討
撤去が必要になる可能性もあるため、慎重な診査と事前説明を行います。

費用について
他院治療部分の再診断・再治療には、新たに検査費用・治療費がかかります。
保険適応外となることが多く、内容により費用が変わるため、初回診査後に明確な見積もりをお伝えします。

最後に
「自分のケースでも治せるのか?」という不安を抱えたまま過ごされている方が多くいらっしゃいます。当院では、まず詳しく診断し、状況・治療の選択肢・費用・期間を明確にご説明いたします。その上で、患者様と一緒に最適な方法を検討していきますので、どうぞ安心してご相談ください。