- 2024.03.23
歯茎が下がって歯がしみる。歯が長くなって見た目が気になる。
-
Before
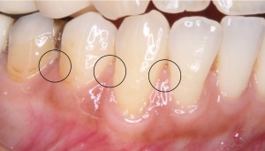
右下の犬歯に歯肉退縮を認める。
-
After
完全に根面が歯肉によって被覆されている。
| 患者 | 30代 女性 非喫煙者 右下の犬歯および左下臼歯部の歯茎が下がっていること気にされて、当院に来院。 歯肉退縮を認めたため、歯周形成外科(根面被覆術)が必要であることを説明し、患者様からの同意を得て治療することになった。 |
|---|---|
| 主訴・ニーズ | 歯茎が下がってきて、気になる。 |
| 診断名・症状 | 歯肉退縮 |
| 治療内容・治療費(自費診療) | 歯周基本治療後 歯周形成外科(根面被覆術)費用110,000(税込み) |
| 治療費総額 | 保険治療費 歯周形成外科(根面被覆術)費用110,000(税込み) |
| 治療期間 | 外科治療後3−6ヶ月 |
| 来院頻度 | 術前週一回程度 |
| リスク・副作用 | 1. 術後の痛みや腫れ 歯ぐきの移植を伴う手術では、手術後に痛みや腫れが生じることがあります。 特に以下の部位で症状が出やすい傾向があります。 移植を行った歯ぐきの部位 移植組織を採取した口蓋(上あご) 多くの場合は数日〜1週間程度で落ち着くことが多いですが、痛みの感じ方には個人差があります。 必要に応じて痛み止めなどを使用します。 2. 出血 手術後には軽度の出血が見られることがあります。 特に次の部位で起こりやすいとされています。 口蓋(移植組織を採取した部位) 手術を行った歯ぐき 通常は圧迫などで止まることが多いですが、まれに出血が長引く場合があります。 3. 移植した歯ぐきが生着しない可能性 移植した歯ぐきは、血流を得て生着することで安定します。 しかし、次のような要因により生着が十分でない場合があります。 術後の過度な歯ブラシ 喫煙 血流の状態 歯ぐきの厚み 個人の治癒能力 その結果、期待したほど歯ぐきが回復しない場合があります。 4. 完全に歯ぐきが回復しない場合 歯肉退縮の程度や歯の位置、歯ぐきの厚みなどによっては、すべての歯根が覆われないことがあります。 研究報告では、条件の良いケースでは高い成功率が報告されていますが、 治療結果には個人差があることが知られています。 5. 歯ぐきの色や形の違い 移植した歯ぐきは、周囲の歯ぐきと比較して 色調の違い 形の違い が見られることがあります。 多くの場合は時間とともに自然になじんでいきますが、 完全に同じ色や形にならない場合もあります。 6. 知覚過敏 歯ぐきの手術後、一時的に 冷たいものがしみる 歯ブラシで刺激を感じる などの知覚過敏症状が出る場合があります。 多くの場合は時間とともに軽減しますが、必要に応じて処置を行います。 7. 感染の可能性 外科処置のため、ごくまれに感染が起こる可能性があります。 感染を防ぐために 術後のうがい 適切な歯磨き 定期的な経過観察 が重要になります。 8. 再発の可能性 歯ぐきの退縮は 強い歯磨き 歯並び 歯周病 噛み合わせ などの影響で起こるため、治療後でも再び歯ぐきが下がる可能性があります。 そのため、治療後は 正しいブラッシング 定期的なメンテナンス が重要になります。 |
皆様こんにちは。福岡市東区香椎駅前にあるまこと歯科・矯正歯科の院長を務めております木村誠です。
今回は、歯ぐきが下がってしまった部位に対して行った「根面被覆術(こんめんひふくじゅつ)」の症例をご紹介します。
根面被覆術とは、歯ぐきが下がることで露出してしまった歯の根の部分を、歯ぐきの移植などの方法を用いて覆うことを目的とした治療です。歯ぐきの退縮がある場合、見た目が気になるだけでなく、知覚過敏などの症状が出ることもあります。
今回の患者様は30代の女性で、
「右下の前歯の歯ぐきが下がってきたことが最近気になり始めた」とのことで当院を受診されました。
診査の結果、右下の前歯の歯ぐきが一部下がり、歯の根の部分が見えている状態が確認されました。歯ぐきの状態や歯周組織の健康状態などを総合的に確認したうえで、治療方法についてご説明し、患者様と相談のうえで根面被覆術を行うことになりました。
次の項目では、実際の治療の流れや術後の経過についてご紹介します。
※治療方法はお口の状態によって適応が異なる場合があります。治療結果には個人差があります。

※治療前の右下犬歯から小臼歯部
歯ぐきが下がる「歯肉退縮」について
今回の症例のように、**「歯ぐきが下がってきたことが気になる」**という理由で来院される患者様は、近年増えてきているように感じます。
専門的には、この状態を**「歯肉退縮(しにくたいしゅく)」**と呼びます。
歯肉退縮は、次のような症状をきっかけに気づかれることが多いと感じています。
-
歯が以前より長く見えるようになった
-
歯ぐきの位置が左右で違うように見える
-
冷たいものがしみる(知覚過敏)
-
歯ぐきの見た目が気になる
このような症状をきっかけにご相談いただくケースが少なくありません。
歯肉退縮は進行する可能性があります
海外の研究では、歯肉退縮を治療せずに経過を観察した場合、一定の割合で進行する可能性があることが報告されています。
参考文献
Chambrone L, Tatakis DN
Long-Term Outcomes of Untreated Buccal Gingival Recessions: A Systematic Review and Meta-Analysis
J Periodontol. 2016
この研究では、未治療の歯肉退縮の多くが長期的に進行する傾向があることが示されています。
一方で、この論文では歯肉退縮のみが直接の原因となって抜歯に至るケースは多くないことも報告されています。
ただし、歯ぐきが下がることで歯の根の部分(根面)が露出すると、
-
根面カリエス(歯の根のむし歯)
-
知覚過敏
-
プラークの付着
などのリスクが高くなる可能性があります。
そのため、歯肉退縮は状況によっては将来的なお口のトラブルにつながる可能性がある状態とも考えられています。
歯肉退縮は進行すると治療が難しくなる場合があります
歯肉退縮は、進行の程度によって治療の難易度が変わることが知られています。
比較的早い段階では改善が期待できるケースでも、進行すると
-
治療の難易度が高くなる
-
改善が難しい場合がある
といったことがあります。
そのため、気になる症状がある場合は、早めに歯科医院で相談することが大切です。
歯肉退縮の治療方法
歯肉退縮の治療方法の一つに、**根面被覆術(こんめんひふくじゅつ)**と呼ばれる歯周外科治療があります。
この治療では、下がった歯ぐきを移動させたり、歯ぐきを移植したりすることで、露出した歯の根の部分を覆うことを目的とします。
ただし、根面被覆術を行ううえで最も重要なのは診査・診断です。
歯肉退縮は、原因や状態によって治療の適応が異なるため、十分な診査を行ったうえで治療方針を決めていく必要があります。
場合によっては、根面被覆術を行っても十分な改善が得られない可能性があるためです。
歯肉退縮の原因について
歯肉退縮の原因は一つではなく、さまざまな要因が関係すると考えられています。
その中の一つとして、**歯ぐきの厚み(歯肉の厚さ)**が関係していると報告されています。
一般的に、歯ぐきが薄いタイプの方は、歯肉退縮が起こりやすい傾向があると言われています。
歯ぐきの厚みを改善する治療
歯ぐきの厚みを改善する方法として、**結合組織移植術(けつごうそしきいしょくじゅつ)**という治療が行われることがあります。
この治療では、主に
-
上あごの口蓋(こうがい)
-
上あごの奥の歯ぐき(上顎結節)
などから歯ぐきの組織を採取し、必要な部位に移植します。
下顎の歯ぐきに対して治療を行う場合は、
-
移植する部位(受容部位)
-
組織を採取する部位(供給部位)
の2か所に外科処置を行うことになるため、体への負担が比較的大きくなる場合があります。
人工材料を用いる方法について
結合組織移植術のほかにも、人工材料などを使用する方法が検討されることもあります。
ただし、研究報告では、自分自身の歯ぐきの組織を用いた移植が良好な結果を示すケースが多いとされています。
※治療方法はお口の状態によって異なります。
今回の症例について
今回の患者様は、歯ぐきの見た目の改善を希望されていました。
そのため、まずは歯肉退縮の状態や原因を詳しく確認するために、診査を行うこととしました。
次の項目では、実際の診査内容と治療計画についてご紹介します。
診査

※歯肉退縮を認める歯の歯間乳頭の状態
根面被覆術の適応を判断するための診査について
歯ぐきが下がった部分に対して行う根面被覆術では、治療が可能かどうかを判断するために、いくつかの診査基準が用いられます。
代表的な分類として、次の2つがあります。
-
Miller(ミラー)の分類
-
Cairo(カイロ)の分類
現在では、歯周組織の状態をより詳しく評価できることから、Cairoの分類が用いられることが多いとされています。
これらの分類では、特に次の2つの部分の状態を確認することが重要になります。
-
歯と歯の間の歯ぐき(歯間乳頭)
-
歯ぐきと粘膜の境目(歯肉歯槽粘膜境)
歯と歯の間の歯ぐきの状態が重要です
根面被覆術では、歯と歯の間の歯ぐき(歯間乳頭)がどの程度保たれているかが、治療の結果に大きく関係すると考えられています。
一般的には、
-
歯と歯の間の歯周組織がしっかり残っている場合
→ 根面被覆術の適応になる可能性が高い
一方で、
-
歯と歯の間の歯ぐきや骨が大きく失われている場合
→ 根面被覆術による改善が難しい場合があります
これは、歯と歯の間の歯周組織の状態が、歯ぐきを移動させたときの安定性に関係するためと考えられています。
専門的には、歯間部のアタッチメントロス(歯を支える組織の喪失量)が、歯の中央部分のアタッチメントロスより大きい場合は、根面被覆術の適応が難しくなることが多いとされています。
今回の症例の診査結果
今回の患者様のケースでは、術前の診査および写真の確認から、
-
歯と歯の間の歯ぐき(歯間乳頭)
-
歯周組織の状態
が比較的良好に保たれている状態でした。
つまり、歯と歯の間の歯ぐきがしっかりと存在しており、健康的な形態が維持されている状態でした。
このような場合には、根面被覆術による改善が期待できる可能性があるため、次のステップとして治療計画を立てていきます。
※治療方法や治療結果は、お口の状態によって異なる場合があります。

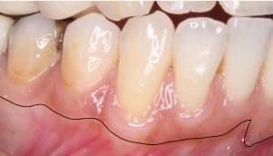
※歯肉・歯槽粘膜境
歯ぐきの境界(歯肉歯槽粘膜境)について
上の写真で黒い線を引いている部分は、**歯肉歯槽粘膜境(しにくしそうねんまくきょう)**と呼ばれる場所です。
ここは、歯ぐきの性質が変わる境界線のような部分になります。
この線より
-
上(歯のある側)
→ **角化歯肉(かくかしにく)**と呼ばれる、比較的しっかりとした歯ぐき -
下(唇や頬の側)
→ **可動粘膜(かどうねんまく)**と呼ばれる、動きやすく柔らかい粘膜
となっています。
根面被覆術では、この角化歯肉の量が治療の結果に関係することが知られています。
一般的に、歯ぐきの退縮がこの境界線を越えてしまい、角化歯肉がほとんどない状態になると、治療の難易度が高くなる場合があります。
今回の症例の歯ぐきの状態
今回の患者様の場合は、歯ぐきの退縮は確認されましたが、歯肉歯槽粘膜境を越えてしまうほどの退縮ではありませんでした。
また、最も歯ぐきの下がりが大きかった右下の犬歯の部分でも、診査の結果、約2mm程度の角化歯肉が残っている状態と判断しました。
このように、角化歯肉が一定量残っている場合は、治療計画を立てるうえで重要な参考になります。
歯ぐきのタイプ(歯肉フェノタイプ)
歯ぐきには、人によって厚みや形の特徴があります。
これを専門的には**歯肉フェノタイプ(gingival phenotype)**と呼びます。
今回の患者様の歯ぐきは、診査の結果、
Thin-Scallop(シン・スキャロップ)タイプ
と判断しました。
このタイプは
-
歯ぐきが比較的薄い
-
歯ぐきのカーブがはっきりしている
といった特徴があり、歯ぐきが下がりやすい傾向があると報告されています。
そのため、歯ぐきの厚みを考慮した治療計画を立てることが重要になります。
歯ぐきが下がっていた部位
今回の症例では、次の歯に歯ぐきの退縮が確認されました。
-
右下犬歯
-
右下第一小臼歯
-
右下第二小臼歯
このように、複数の歯に歯肉退縮がみられる状態でした。
このようなケースでは、歯ぐきの状態や歯の位置、噛み合わせなどを総合的に確認したうえで、治療方法を検討していきます。
診断
今回の患者様の歯ぐきの状態を診査した結果、歯肉退縮の分類として
-
Miller(ミラー)の分類:クラスⅠ
-
Cairo(カイロ)の分類:RT1
に該当すると判断しました。
今回の症例では、
-
歯と歯の間の歯ぐき(歯間乳頭)が保たれている
-
歯間部の歯周組織の大きな喪失がみられない
といった状態が確認されました。
このようなケースでは、一般的に根面被覆術による改善が期待できる可能性がある状態と考えられています。
そのため、患者様に現在の状態や治療方法についてご説明したうえで、治療を検討していくこととしました。
手術方法の決定
今回行った治療方法について
今回の症例では、**Coronally Advanced Flap(コロナリー・アドバンスド・フラップ)**という方法で治療を行いました。
この方法は、下がってしまった歯ぐきを歯の方向(上方)へ移動させることで、露出した歯の根の部分を覆うことを目的とした歯周外科治療です。
Coronally Advanced Flapは、根面被覆術の中でも広く行われている術式の一つであり、条件が整っている場合には複数の歯に対する歯ぐきの退縮にも対応できる方法とされています。
歯ぐきの厚みと治療方法の選択
根面被覆術を行う際には、**歯ぐきの厚み(歯肉の厚さ)**も重要な要素になります。
研究報告では、歯ぐきの厚みが比較的薄い場合(一般的に約1mm未満とされる場合)には、
-
**結合組織移植術(けつごうそしきいしょくじゅつ)**を併用することで
-
根面被覆の成功率や安定性が向上する可能性がある
と報告されています。
また、歯ぐきの厚みを増やすことで、術後の歯ぐきの安定性や再発のリスクを低減する可能性があるとも考えられています。
そのため、歯ぐきの厚みや歯周組織の状態などを総合的に診査したうえで、治療方法を選択していくことが重要になります。

※FGF-2(リグロス) 科研製薬の資料を引用
成長因子製剤「リグロス」の併用について
今回の治療では、**リグロス(歯周組織再生医薬品)**の併用も検討しました。
リグロスは、歯周組織再生療法で用いられることのある成長因子(FGF-2)を含む薬剤で、歯周組織の再生を促すことを目的として使用されます。研究では、血管の新生(血管新生)を促す作用があることが報告されています。
歯ぐきの移植を伴う手術では、移植した組織が周囲の組織とつながり、十分な血流を得ることが重要とされています。
そのため、リグロスを併用することで、移植部位の血流回復を促す可能性があり、治癒をサポートする効果が期待される場合があります。
ただし、今回の治療においてリグロスを使用する場合は、**本来の承認された使用目的とは異なる使い方(適応外使用)**となります。
そのため、使用する場合には
-
薬剤の特徴
-
期待される効果
-
可能性のあるリスク
などについて十分に説明を行い、患者様のご理解と同意をいただいたうえで使用することが必要となります。
当院では、患者様に現在のお口の状態や治療方法について説明したうえで、治療方針を一緒に検討していきます。
治療

※切開
手術時の切開について
上の写真で矢印で示している部分は、手術の際に行う切開線です。
この切開線を基準として、歯ぐきの処置を次のように行います。
まず、切開線より上の歯と歯の間の歯ぐき(歯間乳頭)の部分では、歯ぐきの表面にある上皮(表面の組織)を取り除く処置を行います。これは、移動させる歯ぐきが周囲の組織となじみやすくするための準備となります。
一方で、切開線より下の部分の歯ぐきは、歯ぐきを丁寧に剥離し、歯の方向(歯冠側)へ移動できるように処置を行います。
このような処置を行うことで、歯ぐきを歯の方向へ移動させ、露出している歯の根の部分を覆うことを目指します。

※リグロスを口蓋から採取した結合組織に塗布している様子

※結合組織移植術
歯ぐきの移植(結合組織移植)について
歯ぐきを歯の方向へ移動できるようにフラップ(歯ぐきの組織)を形成したあと、歯ぐきが薄い部分に対して結合組織移植を行いました。
上の写真では、黄色の丸で囲っている部分が、移植した結合組織の位置になります。
このように歯ぐきの厚みを補うことで、
-
歯ぐきの安定性を高める
-
根面被覆の結果をより安定させる
ことが期待できる場合があります。

※手術直後
歯ぐきを移動させて縫合します
結合組織の移植を行ったあと、歯ぐきのフラップ(歯ぐきの組織)を歯の方向(歯冠側)へ移動させます。
このように歯ぐきを歯の方向へ移動させることで、露出している歯の根の部分を覆うことを目指します。
その後、移動させた歯ぐきが安定するように、吸収性の縫合糸(体内で自然に分解される糸)を使用して縫合・固定を行いました。
吸収性の縫合糸は、時間の経過とともに体内で分解されるため、状況によっては抜糸が不要となる場合もあります。ただし、経過の確認のために術後の診察を行うことが大切です。
このように歯ぐきを適切な位置に固定することで、移植した組織が安定し、治癒が進むことが期待されます。
-300x184.jpg)
※術直後(結合組織の供給部位である口蓋の部分)
口蓋からの組織採取方法について
今回の症例では、**シングルインシジョンテクニック(Single Incision Technique)**という方法で、口蓋(上あご)から結合組織を採取しました。
この方法は、口蓋に1本の切開のみで組織を採取する方法で、従来の方法と比べて組織への侵襲が比較的少ない方法とされています。そのため、患者様にとっては術後の痛みや腫れを軽減できる可能性がある方法とされています。
一方で、この方法は繊細な操作が必要となるため、術者にとっては比較的難易度の高い手術方法とされています。
今回のケースでは、この方法で組織を採取したため、口蓋の縫合は単純縫合のみで終了することができました。
術後対応
術後のケアについて
手術後は、通常2〜3週間程度で抜糸を行います。
この期間は、治療した歯ぐきが安定するための大切な時期になります。
そのため、手術を行った部位の歯ブラシは控えていただく必要があります。
「歯磨きをして清潔にした方がよいのではないか」と思われる方も多いのですが、術後の歯ぐきは非常に繊細な状態になっています。
この時期に歯ブラシで刺激を与えると、移植した組織が動いてしまい、治療結果に影響する可能性があります。
そのため当院では、歯ブラシができない期間は、洗口剤(うがい薬)を使用して口腔内を清潔に保っていただく方法をご案内しています。
また、結合組織を採取した口蓋(上あご)の部分については、通常術後約1週間程度で抜糸を行います。
術後は、歯ぐきの状態を確認しながら経過を観察していきます。

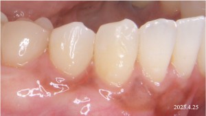
※術後約5ヶ月経過時
術後の経過について
術後の経過を確認したところ、露出していた歯の根の部分は歯ぐきによって覆われ、良好な状態が得られました。
また、手術に伴う歯ぐきの瘢痕(きずあと)も目立ちにくく、比較的自然な歯ぐきの形態を保つことができました。
治療後には、患者様からも見た目の改善についてご満足いただけたとのお言葉をいただきました。

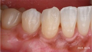
※根面被覆後約5年
術後の長期経過について
現在、根面被覆術を行ってから約5年が経過していますが、歯ぐきの状態は安定しており、良好な経過を保っています。
今回の症例では、結合組織移植術を併用して歯ぐきの厚みを増やす処置を行いました。歯ぐきの厚みを改善することは、歯ぐきの安定性を高める要因の一つと考えられています。
その結果、現在のところ歯ぐきの再退縮は認められず、比較的良い状態を維持しています。
今後も、定期的なメンテナンスを行いながら、歯ぐきの状態を確認していく予定です。
まとめ
歯ぐきが下がって気になる方へ
歯肉退縮(歯ぐき下がり)は、比較的多くみられるお口の状態の一つです。
特に日本人をはじめとする東洋系の人種では、歯ぐきの厚みが比較的薄い傾向があると報告されており、歯肉退縮を経験される方は少なくありません。
歯ぐきが下がることで、
-
歯が長く見えるなどの見た目の変化(審美的な問題)
-
知覚過敏(冷たいものがしみる)
-
根面う蝕(歯の根のむし歯)
などのリスクが高くなる可能性があります。
このような歯肉退縮に対する治療の一つが、今回ご紹介した根面被覆術です。
歯ぐきの状態や原因によって適応は異なりますが、条件が整っている場合には、見た目や症状の改善が期待できることがあります。
当院では、歯周病治療や歯周組織再生療法などの歯周治療にも力を入れて診療を行っています。
歯ぐきが下がってきたことが気になる方や、知覚過敏などの症状でお悩みの方は、まずはお気軽にご相談ください。
医院情報
まこと歯科・矯正歯科
福岡県福岡市東区香椎駅前2-12-54-201
電話番号092-692-2963
