- 2026.02.11
前歯のすき間・形・歯並びを自然に整え、口元の印象を改善した審美治療症例
-
Before
治療前
-
After
治療後
| 患者 | 10代 男性 |
|---|---|
| 主訴・ニーズ | 上の前歯の歯並びを綺麗にしたい(すき間が気になる) |
| 診断名・症状 | BimaX 骨格的2級(下顎後退症) |
| 抜歯部位 | 上顎両側第1小臼歯 |
| 治療内容・治療費(自費診療) | 矯正治療 ラミネートベニア修復 |
| 治療費総額 | 矯正精密検査料44,000円 矯正治療1,100,000円 便宜抜歯11,000円×2 プロビジョナルレストレーション11,000円×2 ラミネートベニア132.000円×2 総額1,452,000円(税込) |
| 治療期間 | 矯正治療期間約4年 ラミネートベニア修復2ヶ月 |
| 来院頻度 | 月1回程度 |
| リスク・副作用 | 矯正治療(抜歯矯正・上顎リンガル・下顎ラビアル)および ラミネートベニア修復に伴うリスク・副作用について 本症例では、矯正治療(抜歯矯正、上顎リンガル矯正、下顎ラビアル矯正)とラミネートベニア修復を組み合わせることで、歯並びや歯の形態、口元の印象の改善を図った。 一方で、これらの治療はいずれも自費診療であり、一定のリスクや副作用が生じる可能性がある。以下に、治療前に理解しておくべき主な点を示す。 矯正治療に伴う一般的なリスク・副作用 矯正治療では、装置装着後や調整後に一時的な痛みや違和感が生じることがある。多くの場合、数日から1週間程度で軽減するが、症状の強さや持続期間には個人差がある。 歯の移動に伴い、歯根吸収が生じる可能性がある。多くは臨床的に問題とならない軽度な変化であるが、進行した場合には治療計画の見直しや中断が必要になることもある。 また、歯の移動や歯周組織の状態によって、歯肉退縮や歯間部の隙間(いわゆるブラックトライアングル)が生じることがある。 矯正装置周囲は清掃が難しく、プラークが停滞しやすくなる。その結果、適切なセルフケアや定期的なプロフェッショナルケアが行われない場合、むし歯や歯周病が進行するリスクが高まる。 治療期間についても、歯の動きには個人差があり、当初の予定より治療期間が延長する場合がある。 抜歯矯正に特有の注意点 抜歯矯正では、抜歯部位の治癒に一定の期間を要する。 また、抜歯スペースを閉鎖する過程において、歯の傾斜や歯肉形態のコントロールが難しくなる場合があり、治療計画の調整が必要となることがある。 上顎リンガル矯正・下顎ラビアル矯正に伴うリスク 上顎リンガル矯正では、装置が舌側に装着されるため、治療初期に発音障害や舌の違和感、痛みを感じることがある。これらの症状は、多くの場合、時間の経過とともに軽減する。 上下顎いずれの装置においても、装置が口腔内粘膜に接触することで、口内炎などの炎症が生じる可能性がある。 ラミネートベニア修復に伴うリスク・副作用 ラミネートベニア修復では、歯の状態や修復設計によって、エナメル質を一部削合する必要が生じる場合がある。一度削合した歯質は元に戻らない。 強い咬合力、歯ぎしり、食いしばり、硬い物の咀嚼などにより、ラミネートベニアが破折・欠損・脱離する可能性がある。 セラミック自体は変色しにくい材料であるが、接着部や歯肉の状態の変化により、長期的には見た目の変化が生じることがある。また、永久的な修復物ではなく、将来的に再治療や再製作が必要になる場合がある。 矯正治療とラミネートベニア修復を併用する際の注意点 矯正治療後の歯の位置や咬み合わせの状態によっては、当初想定していた修復物の形態や設計を変更する必要が生じることがある。 矯正治療終了後は、後戻りを防止するために保定装置(リテーナー)の使用が不可欠である。 また、咬合力や歯周組織の状態によって、治療結果の長期的な安定性は左右されるため、継続的なメインテナンスが重要となる。 本症例について 本症例では、治療に伴うリスクや副作用について事前に十分な説明を行い、患者の理解と同意を得たうえで治療を実施している。 治療結果や感じ方には個人差があり、すべての患者に同様の結果が得られることを保証するものではない。 |
皆様こんにちは。福岡市東区香椎駅前にあるまこと歯科・矯正歯科の院長をしております木村誠です。
ご無沙汰しておりましたが、今年初めて症例ブログを投稿します。
今回ご紹介する症例は、10代の男性の患者さまで、上の前歯の歯並びを整えたいというご希望で来院されました。
上の前歯の中央にすき間(いわゆる「すきっ歯」)があり、さらに前歯の形にもバランスの乱れが見られました。そこで本症例では、矯正治療によって歯並びを整えたうえで、ラミネートベニア修復を行い、前歯の形を調整することで、見た目の美しさと噛み合わせのバランスの両方を整えることを目的とした治療を行いました。
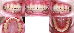
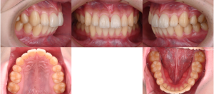
基本資料

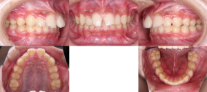
※初診時口腔内写真(全体)
初診時の状態では、上下のいちばん奥の歯がまだ生えそろっていない段階でした。
また、上の前歯が前方に出ている噛み合わせの傾向が見られました。

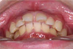
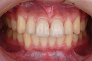
※初診時口腔内写真正面
青色の矢印で示している部分を見ると、歯と歯の間にすき間がある状態であることがわかります。
白い線で上の前歯の形をなぞってみると、歯の大きさや形のバランスに乱れがあることが確認できます。
また、黄色い丸で囲んだ部分には、**上唇の内側と歯ぐきをつなぐヒダ(上唇小帯)**が見られます。このヒダが発達している場合、上の前歯の間にすき間ができやすくなることがあります。

※前歯の噛み合わせ
下の前歯が、上の前歯の歯ぐきに触れそうになるほど深い噛み合わせであることが確認されました。このような噛み合わせは、下あごがやや小さい場合に見られることがあります。
患者さまは歯並びの改善を希望されて来院されたため、より詳しく状態を調べるために矯正治療の精密検査を行うこととしました。

※頭部X線規格写真とその分析値
頭部X線写真を用いた詳しい分析の結果、下あごがやや後ろに位置している骨格の特徴があることがわかりました。また、顔全体のバランスは標準的である一方、上下の前歯がやや前に出ている傾向が確認されました。
頭部X線写真の中で、黄色の線で囲った部分に注目すると、上の前歯が前方に突出している様子が視覚的にも確認できます。
診断
Skeletal Class Ⅱ(下顎後退型)Bimax を伴う潜在的病的咬合 Spaced Arch
治療計画
奥歯が生えそろうのを待ったうえで、前歯の噛み合わせを整えることを目的に矯正治療を行う計画としました。
上あごは、歯を並べるためのスペースを確保する目的で左右の小臼歯を抜歯し、下あごは歯を抜かずに矯正治療を行うこととしました。
また、形にバランスの乱れがある上の前歯2本については、歯を削る量をできるだけ少なく抑えられるラミネートベニア(セラミック)による修復で治療する計画としました。
治療

※矯正治療開始時
治療を進めやすくするために、噛み合わせを一時的に少し高くした状態で矯正治療を開始しました。
上の歯には装置が目立ちにくい舌側(内側)に、下の歯には一般的な唇側(外側)に装置を装着する、いわゆるハーフリンガル矯正を行いました。
この方法は、矯正治療中に装置の見た目が気になる方に配慮した治療方法の一つです。

※矯正治療開始時の上顎咬合面
装置を上の歯の内側(口蓋側)に装着することで、正面から見た際に装置が目立ちにくい状態となります。

※便宜抜歯後の口腔内写真
上下のいちばん奥の歯が生えそろったあと、歯並びを整えるためのスペースを確保する目的で、上あごの左右の小臼歯を抜歯しました。

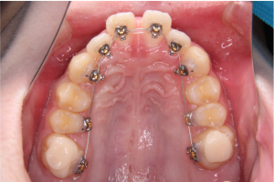
※便宜抜歯後の上顎咬合面
写真の黄色い丸で示している部分は、上あごの左右の小臼歯を抜歯したことでできたスペースです。
写真を撮影した時点では、前歯が少しずつ後ろへ移動し、奥歯も前方へ動くことで、このスペースは徐々に閉じてきている状態でした。

※矯正治療中の正面
上記の写真のように、ハーフリンガル矯正では、上の歯は内側に装置を装着するため、見た目には装置が付いていないように見えることがあります。

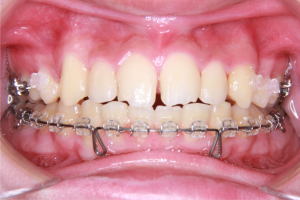
※矯正治療が進んだ際の口元の拡大写真
上の前歯2本の形にバランスの乱れがあるため、この時点ではまだ歯と歯の間にすき間が残っている状態です。

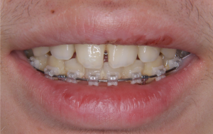
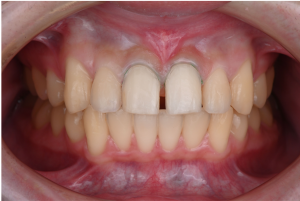
※上顎両側中切歯にプロビジョナルレストレーション(仮歯)を装着した際の口腔内写真
矯正治療がある程度進み、歯並びが整ってきた段階で、形にバランスの乱れがある上の前歯2本に、貼り付けるタイプの仮歯を装着しました。
この時点では、歯を削る処置は行っていません。

※上顎両側中切歯に仮歯を装着した状態
この症例では、歯科技工士が作製した仮歯をいったん装着し、見た目やバランスを確認しました。

※矯正治療終了時
歯並びが整った段階で矯正装置を外し、歯並びを安定させるための保定期間に移行しました。
上の前歯に装着している仮歯は、歯の位置が安定するのを待ってから、約半年後に最終的な被せ物へと置き換える予定としました。
矯正装置を外した直後は、歯がまだ動きやすい状態にあるため、保定装置を使用して歯並びが元に戻らないようにすることが重要となります。

※治療後の頭部X線規格写真
治療後の頭部X線写真(上記)を見ると、黄色で囲った部分に示すように、上の前歯が前に出ていた状態が改善していることが確認できます。

※矯正治療前後の頭部X線規格写真の比較(上記写真左:術前、右:術後)
前歯の噛み合わせが改善している様子が確認できます。
前歯が前に出ている状態では、見た目の問題だけでなく、口を閉じにくくなることでお口の中が乾燥しやすくなり、さまざまなトラブルにつながることがあります。今回の症例では、前歯の位置を整えることで、見た目と機能の両面に配慮した治療を行うことができました。
歯並びが安定した半年後に、ラミネートベニア修復へと移行しました。

※ラミネートベニア修復の削除量を確認するためのガイドグループ
ラミネートベニア修復を行うにあたり、仮歯と歯の表面に目安となるガイドを作り、歯を削る量が必要最小限になるように配慮しました。
削る量は**歯の表面のごく一部(1ミリ未満)**にとどめています。
※ラミネートベニア修復のための支台歯形成が終了した状態
上記の写真は、歯の形を整える処置が終了した状態です。
できるだけ歯の表面のエナメル質のみを削るように配慮しています。

※仮歯を装着した状態
歯の形を整えたあと、型取りと噛み合わせの確認を行い、仮歯を装着した状態です。

※ラミネートベニア(正面)
歯科技工士が作製したラミネートベニアです。

※ラミネートベニア咬合面
歯の表側と、歯の先端の一部が覆われていることがわかります。

※ラミネートベニア(口蓋側からみた状態)
ラミネートベニアは、通常、歯の内側は削らずに治療を行うため、歯を削る量を抑えることができます。

※ラミネートベニアを装着する際の様子
ラミネートベニアなどのセラミック治療を長く安定して使っていただくためには、接着する際の環境がとても重要です。
当院では、上記の写真のように、ラバーダムと呼ばれるゴムのシートを使用し、歯を唾液や湿気からしっかり隔離した状態で接着処理を行っています。
この方法により、接着の精度を高め、治療後の安定性に配慮しています。

※隣在歯の保護
接着の処置中にとなりの歯を傷つけないようにするため、歯の周囲をテフロンテープで保護しています。

※歯面処理
ラミネートベニアを含むセラミック治療では、歯の表面にあるエナメル質にしっかり接着させることが重要とされています。
そのため、エナメル質の表面に専用の処理(エッチング)を行い、細かな凹凸を作ることで、接着力を高める工夫をしています。

※ラミネートベニア装着直後
エッチング処理のあと、歯とセラミックをしっかり接着させるための専用の薬剤(プライマー)を塗布し、レジン系の接着材を用いて装着しました。
このような接着の工程は、細かな手順と正確な操作が求められるため、十分な知識と技術が必要となる治療です。

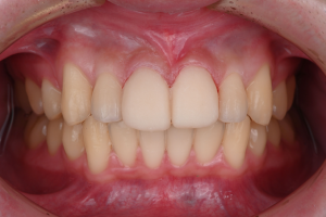
※治療終了時
歯並びが整い、あわせて形にバランスの乱れがあった上の前歯2本は、ラミネートベニアによって自然な見た目に整えられました。

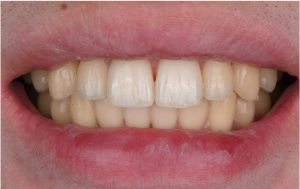
※治療終了時の口腔内写真(正面)
歯科技工士が作製した補綴物は、周囲の歯になじむ自然な見た目に仕上がっています。

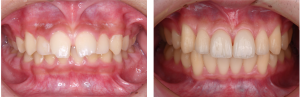
※術前(左)と術後(右)
治療後の結果について、患者さまから前向きなお声をいただいています。
※口元の拡大
口元の印象も、自然でバランスの取れた状態となりました。

※術前、矯正治療期間中、術後
歯並びや歯の形が整うことで、口元の印象が変化することがわかります。
まとめ
今回の症例では、矯正治療とラミネートベニア修復を組み合わせることで、見た目と噛み合わせの両面に配慮した治療を行いました。
当院では、この症例のように複数の課題が重なっている場合でも、お一人おひとりの状態に合わせて治療方法を検討しています。
歯並びや口元について気になることがある方は、ご相談だけでもお気軽にお問い合わせいただければ幸いです。
医院情報
福岡県福岡市東区香椎駅前2丁目12-54 オリジンビル201号室
医療法人 まこと歯科・矯正歯科
電話番号 092-692-2963
